• Tel: 858.663.9055
  • SeparatorEmail: info@nsjbio.com
  • Tel: 858.663.9055
  • Email: info@nsjbio.com
Home >> Antibodies >> AP2A2 Antibody / AP-2 complex subunit alpha-2

AP2A2 Antibody / AP-2 complex subunit alpha-2 (RQ6600)

  Catalog No Formulation Size Price (USD)  
Image RQ6600 0.5mg/ml if reconstituted with 0.2ml sterile DI water 100 ug 439
Bulk quote request
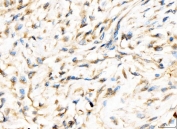
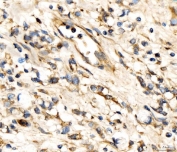
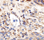
IHC staining of FFPE human lymphoma tissue with AP2A2 antibody. HIER: boil tissue sections in pH8 EDTA for 20 min and allow to cool before testing.
IHC staining of FFPE human stomach cancer tissue with AP2A2 antibody. HIER: boil tissue sections in pH8 EDTA for 20 min and allow to cool before testing.
IHC staining of FFPE human liver cancer tissue with AP2A2 antibody. HIER: boil tissue sections in pH8 EDTA for 20 min and allow to cool before testing.
IHC staining of FFPE human breast cancer tissue with AP2A2 antibody. HIER: boil tissue sections in pH8 EDTA for 20 min and allow to cool before testing.
Immunofluorescent staining of FFPE human PC-3 cells with AP2A2 antibody (green) and DAPI nuclear stain (blue). HIER: steam section in pH6 citrate buffer for 20 min.
Western blot testing of 1) human HepG2, 2) human HEK293, 3) human PC-3, 4) human SH-SY5Y, 5) rat brain, 6) rat lung, 7) mouse brain and 8) mouse lung tissue lysate with AP2A2 antibody. Predicted molecular weight ~104 kDa.
Flow cytometry testing of human 293T cells with AP2A2 antibody at 1ug/million cells (blocked with goat sera); Red=cells alone, Green=isotype control, Blue= AP2A2 antibody.
Availability 1-3 business days
Species Reactivity Human, Mouse, Rat
Format Antigen affinity purified
Clonality Polyclonal (rabbit origin)
Isotype Rabbit IgG
Purity Antigen affinity purified
Buffer Lyophilized from 1X PBS with 2% Trehalose
UniProt O94973
Localization Cytoplasmic, nuclear, cell membrane
Applications Western Blot : 1-2ug/ml
Immunohistochemistry (FFPE) : 2-5ug/ml
Immunofluorescence (FFPE) : 5ug/ml
Flow Cytometry : 1-3ug/million cells
Direct ELISA : 0.1-0.5ug/ml
Limitations This AP2A2 antibody is available for research use only.
Review this product on BioCompare and get a $20 Amazon gift card

Description

AP-2 complex subunit alpha-2 is a protein that in humans is encoded by the AP2A2 gene. The protein encoded by this gene is a subunit of the AP-2 adaptor protein complex, which is involved in linking lipid and protein membrane components with the clathrin lattice. This interaction supports the formation of clathrin-coated vesicles, and the encoded subunit aids in the process by binding polyphosphoinositide-containing lipids in the cell membrane.

Application Notes

Optimal dilution of the AP2A2 antibody should be determined by the researcher.

Immunogen

Recombinant human protein (amino acids D686-K825) was used as the immunogen for the AP2A2 antibody.

Storage

After reconstitution, the AP2A2 antibody can be stored for up to one month at 4oC. For long-term, aliquot and store at -20oC. Avoid repeated freezing and thawing.

Cross
Bulk Quote Request Form
Name*:
Organization*:
Email*:
Phone Number*:
Catalog No.*:
Comments and Specifics(amount, formulation, etc.)*:
Validation code: Captchapackage Image


Can't read the image? click here to refresh.
    *required field

Your bulk quote request has been submitted successfully!

Please contact us if you have any questions.