Tel: 858.663.9055
Email: info@nsjbio.com
Tel: 858.663.9055
Email: info@nsjbio.com
My Cart (0)
Antibodies
Protocols
About Us
Distributors
Contact Us
Order
Toggle navigation
Menu
Antibodies
Protocols
About Us
Distributors
Contact Us
Order
Search results for
TIAM1
There are no search results with an exact match of
TIAM1
. Related results are displayed below.
TIAM1 Antibody / T-lymphoma invasion and metastasis-inducing protein 1
Catalog No
:
R32571
Applications
:
WB
Reactivity
:
Human
Pred. Reactivity
:
Format
:
Antigen affinity purified
RRID
:
Powered by Bioz
‹
›
TIAM1 Antibody / T-lymphoma invasion and metastasis-inducing protein 1
Catalog No
:
F55115
Applications
:
WB
Reactivity
:
Human
Pred. Reactivity
:
Format
:
Purified
RRID
:
Powered by Bioz
‹
›
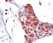
TIAM2 Antibody /T-lymphoma invasion and metastasis-inducing protein 2
Catalog No
:
R36215
Applications
:
IHC, ELISA (peptide)
Reactivity
:
Human
Pred. Reactivity
:
Mouse, Dog
Format
:
Antigen affinity purified
RRID
:
Powered by Bioz
‹
›