• Tel: 858.663.9055
  • SeparatorEmail: info@nsjbio.com
  • Tel: 858.663.9055
  • Email: info@nsjbio.com
Home >> Antibodies >> TIAM2 Antibody / T-lymphoma invasion and metastasis-inducing protein 1

TIAM2 Antibody / T-lymphoma invasion and metastasis-inducing protein 1 (R36215)

  Catalog No Formulation Size Price (USD)  
Image R36215-100UG 0.5 mg/ml in 1X TBS, pH7.3, with 0.5% BSA (US sourced) and 0.02% sodium azide 100 ug 449
Bulk quote request
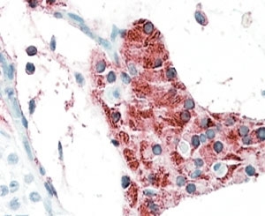
IHC testing of FFPE human testis with TIAM2 antibody at 5ug/ml. HIER: steamed with pH6 citrate buffer, AP-staining.
Availability 1-3 business days
Species Reactivity Human
Predicted Reactivity Mouse, Dog
Format Antigen affinity purified
Clonality Polyclonal (goat origin)
Isotype Goat Ig
Purity Antigen affinity
Gene ID 26230
Localization Cytoplasmic, possible nuclear and membrane
Applications Immunohistochemistry (FFPE) : 5-10ug/ml
ELISA (peptide) LOD : 1:64000
Limitations This TIAM2 antibody is available for research use only.
Review this product on BioCompare and get a $20 Amazon gift card

Description

Additional name(s) for this target protein: T-cell lymphoma invasion and metastasis 2

Application Notes

Optimal dilution of the TIAM2 antibody should be determined by the researcher.

1. This TIAM2 antibody is specific for isoform a.

Immunogen

Amino acids TLQGSKNHSNT were used as the immunogen for this TIAM2 antibody.

Storage

Aliquot and store the TIAM2 antibody at -20oC.

Cross
Bulk Quote Request Form
Name*:
Organization*:
Email*:
Phone Number*:
Catalog No.*:
Comments and Specifics(amount, formulation, etc.)*:
Validation code: Captchapackage Image


Can't read the image? click here to refresh.
    *required field

Your bulk quote request has been submitted successfully!

Please contact us if you have any questions.