• Tel: 858.663.9055
  • separatorEmail: info@nsjbio.com
  • Tel: 858.663.9055
  • Email: info@nsjbio.com
banner

Angiogenesis Antibodies

Home >> Antibodies >> Angiogenesis Antibodies

Angiogenesis Antibodies

Angiogenesis Antibodies Overview

Angiogenesis Antibodies provide critical reagents for studying the biological process of new blood vessel formation from pre-existing vasculature. Angiogenesis is vital during development, tissue growth, and wound healing, but dysregulated angiogenesis underlies major diseases, including cancer, ischemic disorders, and ocular pathologies.

Key regulators include vascular endothelial growth factor (VEGF) and its receptors (VEGFR1, VEGFR2), fibroblast growth factors (FGFs), angiopoietins, platelet-derived growth factor (PDGF), and integrins. These proteins control endothelial cell proliferation, migration, and lumen formation. Aberrant angiogenesis promotes tumor vascularization, diabetic retinopathy, and rheumatoid arthritis, while insufficient angiogenesis leads to ischemia and poor tissue repair.

By targeting angiogenic regulators, Angiogenesis Antibodies enable researchers to dissect molecular mechanisms, validate biomarkers, and test therapeutic interventions. These reagents are indispensable in vascular biology, oncology, regenerative medicine, and translational pipelines.


Why Choose Angiogenesis Antibodies from NSJ Bioreagents?

NSJ Bioreagents provides Angiogenesis Antibodies validated for immunohistochemistry (IHC), western blotting (WB), immunofluorescence (IF), flow cytometry (FACS), and ELISA. Each antibody is rigorously tested for specificity, reproducibility, and cross-platform performance.

Advantages include:

  • Comprehensive Pathway Coverage: Antibodies for VEGF, angiopoietins, FGFs, PDGF, integrins, and endothelial markers.

  • Validated Across Platforms: Reliable results in tissue sections, cell cultures, and lysates.

  • Batch-to-Batch Consistency: Ensures reproducibility across long-term projects.

  • Detailed Datasheets: Protocols, controls, and validation data included.

  • Translational Relevance: Suitable for preclinical, biomarker, and clinical research.

By choosing NSJ Bioreagents, researchers gain confidence that their Angiogenesis Antibodies will deliver clarity and reliability across studies.


Applications of Angiogenesis Antibodies

The Angiogenesis Antibodies collection supports broad applications in developmental biology, cancer, vascular disease, and therapeutic pipelines.

1) Development and Tissue Growth

  • Detect angiogenic regulators in embryonic development.

  • Support studies of endothelial differentiation and vasculogenesis.

  • Clarify the role of VEGF and angiopoietins in organ formation.

  • Extend into regenerative medicine and stem cell biology.

2) Wound Healing and Regeneration

  • Angiogenesis Antibodies detect endothelial proliferation in healing tissues.

  • Support studies of growth factor-driven repair mechanisms.

  • Provide translational markers for chronic wound healing research.

  • Validate angiogenesis as a biomarker for tissue regeneration.

3) Oncology and Tumor Biology

  • Detect VEGF, VEGFRs, and integrins in tumor vasculature.

  • Support research into angiogenesis-driven tumor growth and metastasis.

  • Validate biomarkers for anti-angiogenic therapies.

  • Provide translational insights for personalized oncology pipelines.

4) Cardiovascular and Ischemic Disease

  • Angiogenesis Antibodies detect new vessel formation in ischemic myocardium.

  • Support studies of collateral vessel growth after infarction.

  • Provide translational biomarkers for therapies promoting revascularization.

  • Extend into clinical cardiology and vascular medicine.

5) Ocular and Retinal Disease

  • Detect angiogenic activity in diabetic retinopathy and age-related macular degeneration (AMD).

  • Support biomarker discovery for anti-VEGF therapies.

  • Provide translational markers for clinical ophthalmology.

  • Extend into therapeutic development for blinding eye diseases.

6) Inflammatory and Autoimmune Disorders

  • Angiogenesis Antibodies detect vascular proliferation in rheumatoid arthritis.

  • Support studies of synovial angiogenesis and chronic inflammation.

  • Provide biomarkers for anti-inflammatory and angiogenesis-modulating drugs.

  • Extend applications into translational immunology pipelines.

7) Pharmacology and Drug Discovery

  • Support screening of anti-angiogenic drugs targeting VEGF or integrins.

  • Provide biomarkers for therapeutic efficacy testing.

  • Extend into regenerative therapies that stimulate angiogenesis.

  • Ensure reproducibility across preclinical and translational studies.

8) Clinical and Diagnostic Research

  • Provide biomarkers for patient stratification in oncology and ophthalmology.

  • Support diagnostics for vascular and inflammatory diseases.

  • Validate angiogenesis markers for therapy monitoring.

  • Ensure reproducibility from basic research to clinical application.


Why Are Angiogenesis Antibodies Important?

Angiogenesis is a double-edged sword—essential for repair and regeneration, but dangerous when uncontrolled. The Angiogenesis Antibodies portfolio equips researchers with validated tools to study VEGF pathways, endothelial signaling, and vessel remodeling across multiple biological contexts.

In oncology, these antibodies identify angiogenic biomarkers that predict tumor progression and therapeutic response. In cardiology, they support research into revascularization strategies for ischemic tissues. In ophthalmology, Angiogenesis Antibodies clarify the mechanisms of retinal neovascularization and anti-VEGF therapy outcomes. In immunology, they extend applications into chronic inflammation and autoimmune pathology.

Clinically, angiogenesis markers are now widely used in drug development, diagnostics, and patient stratification. Reliable Angiogenesis Antibodies ensure reproducibility, bridging fundamental discoveries with clinical implementation.


Conclusion

Angiogenesis underpins both health and disease, guiding tissue growth, repair, and pathological vascularization. Angiogenesis Antibodies provide validated tools for dissecting molecular pathways, developing therapeutics, and translating findings into clinical practice. By ensuring specificity, reproducibility, and assay versatility, these antibodies remain indispensable for advancing vascular biology, oncology, regenerative medicine, and translational research.

 
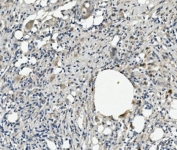
<p>IHC staining of human tonsil tissue with CD34 antibody (<a href="../tds/cd34-antibody-qbend10-v2067" target="_blank" rel="noopener">clone QBEnd/10, cat # V2067</a>).</p>

IHC staining of human tonsil tissue with CD34 antibody (clone QBEnd/10, cat # V2067).

Found all antibodies, displaying 371 to 380
CYP11B1/2 Antibody
Catalog No : RQ5878
Applications : WB, FACS, Direct ELISA
Reactivity : Human, Mouse, Rat
Format : Antigen affinity purified
MADCAM1 Antibody
Catalog No : RQ5894
Applications : IHC-P
Reactivity : Human
Format : Antigen affinity purified
Neurotrophin 3 Antibody / NTF3
Catalog No : RQ5903
Applications : WB
Reactivity : Human, Mouse, Rat
Format : Antigen affinity purified
FABP6 Antibody / Gastrotropin
Catalog No : RQ5975
Applications : WB, IHC-P, FACS, Direct ELISA
Reactivity : Human, Mouse, Rat
Format : Antigen affinity purified
FGF10 Antibody
Catalog No : RQ5976
Applications : WB, FACS, IF, Direct ELISA
Reactivity : Human, Mouse, Rat
Format : Antigen affinity purified
Kallistatin Antibody / SERPINA4
Catalog No : RQ6007
Applications : WB, IHC-P, Direct ELISA
Reactivity : Human, Monkey, Rat
Format : Antigen affinity purified
ATP5H Antibody (clone 6B12)
Catalog No : RQ6031
Applications : WB, IHC-P, IF
Reactivity : Human, Mouse, Rat, Monkey
Format : Purified
Angiopoietin 2 Antibody / ANG2
Catalog No : RQ6037
Applications : WB, IHC-P, IF, FACS, Direct ELISA
Reactivity : Human, Mouse, Rat
Format : Antigen affinity purified
Lox-1 Antibody / Olr1
Catalog No : RQ6063
Applications : WB, Direct ELISA
Reactivity : Mouse
Format : Antigen affinity purified
Lox-1 Antibody / Olr1
Catalog No : RQ6064
Applications : WB, IHC-P, FACS, Direct ELISA
Reactivity : Mouse, Rat
Format : Antigen affinity purified