- Tel: 858.663.9055
- 
									 Email: info@nsjbio.com Email: info@nsjbio.com
- Tel: 858.663.9055
- Email: info@nsjbio.com
 Email: info@nsjbio.com
Email: info@nsjbio.com
								Related Products
| 
 | 
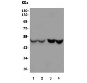
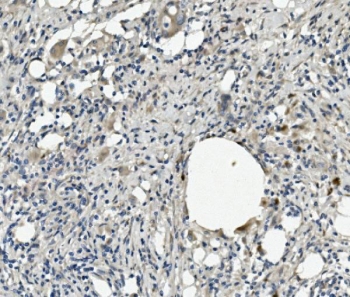
Kallistatin is a protein that in humans is encoded by the SERPINA4 gene. It is mapped to 14q32.13. Serpin A4 is a member of the Serpin superfamily of the serine protease inhibitors. Known also as Kallistatin or proteinase inhibitor 4, Serpin A4 has been shown to function as a specific inhibitor of tissue kallikrein and as an inhibitor of angiogenesis and tumor growth.
Optimal dilution of the Kallistatin antibody should be determined by the researcher.
Recombinant human protein (amino acids H147-A373) was used as the immunogen for the Kallistatin antibody.
After reconstitution, the Kallistatin antibody can be stored for up to one month at 4oC. For long-term, aliquot and store at -20oC. Avoid repeated freezing and thawing.
 
Your bulk quote request has been submitted successfully!
Please contact us if you have any questions.