• Tel: 858.663.9055
  • SeparatorEmail: info@nsjbio.com
  • Tel: 858.663.9055
  • Email: info@nsjbio.com
Home >> Antibodies >> ZNF488 Antibody

ZNF488 Antibody [clone PCRP-ZNF488-2D8] (V4097)

  Catalog No Formulation Size Price (USD)  
Image V4097-100UG 0.2 mg/ml in 1X PBS with 0.1 mg/ml BSA (US sourced), 0.05% sodium azide 100 ug 539
Image
V4097-20UG 0.2 mg/ml in 1X PBS with 0.1 mg/ml BSA (US sourced), 0.05% sodium azide 20 ug 249
Image
V4097SAF-100UG 1 mg/ml in 1X PBS; BSA free, sodium azide free 100 ug 539
Microvalidated
Bulk quote request
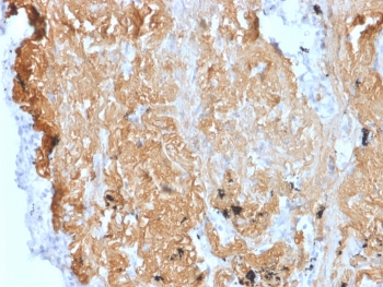
IHC staining of FFPE human uterus tissue with ZNF488 antibody (clone PCRP-ZNF488-2D8). HIER: boil tissue sections in pH 9 10mM Tris with 1mM EDTA for 20 min and allow to cool before testing.
SDS-PAGE analysis of purified, BSA-free ZNF488 antibody (clone PCRP-ZNF488-2D8) as confirmation of integrity and purity.
Flow cytometry testing of PFA-fixed human HeLa cells with ZNF488 antibody (clone PCRP-ZNF488-2D8) followed by goat anti-mouse IgG-CF488 (blue); Red = unstained cells.
Analysis of a HuProt(TM) microarray containing more than 19,000 full-length human proteins using ZNF488 Mouse Monoclonal (PCRP-ZNF488-2D8). Z- and S- Score: The Z-score represents the strength of a signal that a monoclonal antibody (in combination with a fluorescently-tagged anti-IgG secondary antibody) produces when binding to a particular protein on the HuProt(TM) array. Z-scores are described in units of standard deviations (SD's) above the mean value of all signals generated on that array. If targets on HuProt(TM) are arranged in descending order of the Z-score, the S-score is the difference (also in units of SD's) between the Z-score. S-score therefore represents the relative target specificity of a mAb to its intended target. A mAb is considered to specific to its intended target, if the mAb has an S-score of at least 2.5. For example, if a mAb binds to protein X with a Z-score of 43 and to protein Y with a Z-score of 14, then the S-score for the binding of that mAb to protein X is equal to 29.
Availability 1-3 business days
Species Reactivity Human
Format Purified
Clonality Monoclonal (mouse origin)
Isotype Mouse IgG2a
Clone Name PCRP-ZNF488-2D8
Purity Protein A/G affinity
UniProt Q96MN9
Localization Nucleus
Applications Flow Cytometry : 1-2ug/million cells
Immunohistochemistry (FFPE) : 1-2ug/ml for 30 minutes at RT
Limitations This ZNF488 antibody is available for research use only.
Review this product on BioCompare and get a $20 Amazon gift card

Description

Zinc finger proteins contain DNA-binding domains and have a wide variety of functions, most of which encompass some form of transcriptional activation or repression. The majority of zinc finger proteins contain a Kruppel-type DNA binding domain and a KRAB domain, which is thought to interact with KAP1, thereby recruiting histone modifying proteins. ZNF488 is a 340 amino acid transcriptional regulator belonging to the Kruppel C2H2-type zinc finger protein family. ZNF488 localizes to the nucleus and contains two C2H2-type zinc fingers. ZNF488 is encoded by a gene located on chromosome 10, which contains a plethora of interesting genes and represents between 4 and 4.5 percent of the total DNA in cells. Jackson-Weiss, Cowden and Usher syndromes are a few diseases related to genes on chromosome 10.

Application Notes

Optimal dilution of the ZNF488 antibody should be determined by the researcher.

Immunogen

A recombinant partial protein (within amino acids 170-307) from the human protein was used as the immunogen for the ZNF488 antibody.

Storage

Aliquot the ZNF488 antibody and store frozen at -20oC or colder. Avoid repeated freeze-thaw cycles.

Cross
Bulk Quote Request Form
Name*:
Organization*:
Email*:
Phone Number*:
Catalog No.*:
Comments and Specifics(amount, formulation, etc.)*:
Validation code: Captchapackage Image


Can't read the image? click here to refresh.
    *required field

Your bulk quote request has been submitted successfully!

Please contact us if you have any questions.