• Tel: 858.663.9055
  • SeparatorEmail: info@nsjbio.com
  • Tel: 858.663.9055
  • Email: info@nsjbio.com
Home >> Antibodies >> ZNF219 Antibody

ZNF219 Antibody (F54733)

  Catalog No Formulation Size Price (USD)  
Image F54733-0.4ML In 1X PBS, pH 7.4, with 0.09% sodium azide 0.4 ml 429
Image
F54733-0.08ML In 1X PBS, pH 7.4, with 0.09% sodium azide 0.08 ml 199
Bulk quote request
Western blot testing of human heart tissue lysate with ZNF219 antibody. Predicted molecular weight ~77 kDa.
Western blot testing of human SH-SY5Y cell lysate with ZNF219 antibody. Predicted molecular weight ~77 kDa.
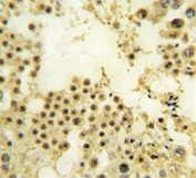
IHC testing of FFPE human testis tissue with ZNF219 antibody. HIER: steam section in pH6 citrate buffer for 20 min and allow to cool prior to staining.
Availability 1-3 business days
Species Reactivity Human
Format Purified
Clonality Polyclonal (rabbit origin)
Isotype Rabbit Ig
Purity Antigen affinity purified
UniProt Q9P2Y4
Localization Nuclear
Applications Western Blot : 1:500-1:1000
Immunohistochemistry (FFPE) : 1:25
Limitations This ZNF219 antibody is available for research use only.
Review this product on BioCompare and get a $20 Amazon gift card

Description

ZNF219 is a member of the Kruppel-like zinc finger family that is involved in a diverse range of biological processes. ZNF219 is a 77-kDa nuclear protein containing nine sets of C2H2 zinc finger structures. It may be involved in transcriptional regulation, it functions as a transcriptional repressor for the HMGN1 promoter

Application Notes

The stated application concentrations are suggested starting points. Titration of the ZNF219 antibody may be required due to differences in protocols and secondary/substrate sensitivity.

Immunogen

A portion of amino acids 154-183 from the human protein was used as the immunogen for the ZNF219 antibody.

Storage

Aliquot the ZNF219 antibody and store frozen at -20oC or colder. Avoid repeated freeze-thaw cycles.

Cross
Bulk Quote Request Form
Name*:
Organization*:
Email*:
Phone Number*:
Catalog No.*:
Comments and Specifics(amount, formulation, etc.)*:
Validation code: Captchapackage Image


Can't read the image? click here to refresh.
    *required field

Your bulk quote request has been submitted successfully!

Please contact us if you have any questions.