• Tel: 858.663.9055
  • SeparatorEmail: info@nsjbio.com
  • Tel: 858.663.9055
  • Email: info@nsjbio.com
Home >> Antibodies >> ZNF202 Antibody

ZNF202 Antibody (F54474)

  Catalog No Formulation Size Price (USD)  
Image F54474-0.4ML In 1X PBS, pH 7.4, with 0.09% sodium azide 0.4 ml 429
Image
F54474-0.08ML In 1X PBS, pH 7.4, with 0.09% sodium azide 0.08 ml 199
Bulk quote request
Immunofluorescent staining of fixed and permeabilized human MDA-MB-231 cells with ZNF202 antibody (green), DAPI nuclear stain (blue) and anti-Actin (red).
Immunofluorescent staining of human HepG2 cells with ZNF202 antibody (green) and DAPI nuclear stain (blue).
Western blot testing of human HepG2 cell lysate with ZNF202 antibody. Predicted molecular weight ~75 kDa.
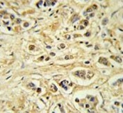
IHC testing of FFPE human breast carcinoma tissue with ZNF202 antibody. HIER: steam section in pH6 citrate buffer for 20 min and allow to cool prior to staining.
Flow cytometry testing of human HepG2 cells with ZNF202 antibody; Blue=isotype control, Green= ZNF202 antibody.
Availability 1-3 business days
Species Reactivity Human
Format Purified
Clonality Polyclonal (rabbit origin)
Isotype Rabbit Ig
Purity Antigen affinity purified
UniProt O95125
Localization Nuclear
Applications Immunofluorescence : 1:25
Flow Cytometry : 1:25 (1x10e6 cells)
Immunohistochemistry (FFPE) : 1:25
Western Blot : 1:500-1:2000
Limitations This ZNF202 antibody is available for research use only.
Review this product on BioCompare and get a $20 Amazon gift card

Related Products

Description

ZNF202 (Zinc finger protein 202) is a transcriptional repressor of genes affecting the vascular endothelium as well as lipid metabolism and energy homeostasis. Among its targets are structural components of lipoprotein particles (apolipoproteins AIV, CIII, and E), enzymes involved in lipid processing (lipoprotein lipase, lecithin cholesteryl ester transferase), transporters involved in lipid homeostasis (ABCA1, ABCG1), and several genes involved in processes related to energy metabolism and vascular disease.

Application Notes

The stated application concentrations are suggested starting points. Titration of the ZNF202 antibody may be required due to differences in protocols and secondary/substrate sensitivity.

Immunogen

A portion of amino acids 342-370 from the human protein was used as the immunogen for the ZNF202 antibody.

Storage

Aliquot the ZNF202 antibody and store frozen at -20oC or colder. Avoid repeated freeze-thaw cycles.

Cross
Bulk Quote Request Form
Name*:
Organization*:
Email*:
Phone Number*:
Catalog No.*:
Comments and Specifics(amount, formulation, etc.)*:
Validation code: Captchapackage Image


Can't read the image? click here to refresh.
    *required field

Your bulk quote request has been submitted successfully!

Please contact us if you have any questions.