• Tel: 858.663.9055
  • SeparatorEmail: info@nsjbio.com
  • Tel: 858.663.9055
  • Email: info@nsjbio.com
Home >> Antibodies >> Zinc finger protein 232 Antibody / ZNF232

Zinc finger protein 232 Antibody / ZNF232 [clone PCRP-ZNF232-1D5] (V4461)

  Catalog No Formulation Size Price (USD)  
Image V4461-100UG 0.2 mg/ml in 1X PBS with 0.1 mg/ml BSA (US sourced), 0.05% sodium azide 100 ug 539
Image
V4461-20UG 0.2 mg/ml in 1X PBS with 0.1 mg/ml BSA (US sourced), 0.05% sodium azide 20 ug 249
Image
V4461SAF-100UG 1 mg/ml in 1X PBS; BSA free, sodium azide free 100 ug 539
Bulk quote request
Analysis of a HuProt(TM) microarray containing more than 19,000 full-length human proteins using Zinc finger protein 232 antibody (clone PCRP-ZNF232-1D5). Z- and S- Score: The Z-score represents the strength of a signal that a monoclonal antibody (in combination with a fluorescently-tagged anti-IgG secondary antibody) produces when binding to a particular protein on the HuProt(TM) array. Z-scores are described in units of standard deviations (SD's) above the mean value of all signals generated on that array. If targets on HuProt(TM) are arranged in descending order of the Z-score, the S-score is the difference (also in units of SD's) between the Z-score. S-score therefore represents the relative target specificity of a mAb to its intended target. A mAb is considered to specific to its intended target, if the mAb has an S-score of at least 2.5. For example, if a mAb binds to protein X with a Z-score of 43 and to protein Y with a Z-score of 14, then the S-score for the binding of that mAb to protein X is equal to 29.
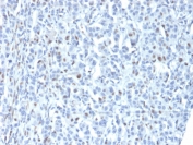
IHC staining of FFPE human tumor tissue (unknown origin) with Zinc finger protein 232 antibody (clone PCRP-ZNF232-1D5). HIER: boil tissue sections in pH 9 10mM Tris with 1mM EDTA for 20 min and allow to cool before testing.
Flow cytometry testing of PFA-fixed human HeLa cells with Zinc finger protein 232 antibody (clone PCRP-ZNF232-1D5) followed by goat anti-mouse IgG-CF488 (blue), Red = unstained cells.
SDS-PAGE analysis of purified, BSA-free Zinc finger protein 232 antibody (clone PCRP-ZNF232-1D5) as confirmation of integrity and purity.
Availability 1-3 business days
Species Reactivity Human
Format Purified
Clonality Monoclonal (mouse origin)
Isotype Mouse IgG2b
Clone Name PCRP-ZNF232-1D5
Purity Protein A/G affinity
UniProt Q9UNY5
Localization Nucleus
Applications Flow Cytometry : 1-2ug/million cells
Immunohistochemistry (FFPE) : 1-2ug/ml for 30 minutes at RT
Limitations This Zinc finger protein 232 antibody is available for research use only.
Review this product on BioCompare and get a $20 Amazon gift card

Related Products

Description

Predicted to enable DNA-binding transcription factor activity, RNA polymerase II-specific and RNA polymerase II cis-regulatory region sequence-specific DNA binding activity. Predicted to be involved in regulation of transcription by RNA polymerase II. Located in cytosol and nucleoplasm. [provided by Alliance of Genome Resources, Apr 2022]May be involved in transcriptional regulation.

Application Notes

Optimal dilution of the Zinc finger protein 232 antibody should be determined by the researcher.

Immunogen

A recombinant partial protein sequence (within amino acids 29-109) from the human protein was used as the immunogen for the Zinc finger protein 232 antibody.

Storage

Aliquot the Zinc finger protein 232 antibody and store frozen at -20oC or colder. Avoid repeated freeze-thaw cycles.

Cross
Bulk Quote Request Form
Name*:
Organization*:
Email*:
Phone Number*:
Catalog No.*:
Comments and Specifics(amount, formulation, etc.)*:
Validation code: Captchapackage Image


Can't read the image? click here to refresh.
    *required field

Your bulk quote request has been submitted successfully!

Please contact us if you have any questions.