• Tel: 858.663.9055
  • SeparatorEmail: info@nsjbio.com
  • Tel: 858.663.9055
  • Email: info@nsjbio.com
Home >> Antibodies >> ZFYVE28 Antibody

ZFYVE28 Antibody [clone LST2/2426] (V8040)

  Catalog No Formulation Size Price (USD)  
Image V8040-100UG 0.2 mg/ml in 1X PBS with 0.1 mg/ml BSA (US sourced) and 0.05% sodium azide 100 ug 539
Image
V8040-20UG 0.2 mg/ml in 1X PBS with 0.1 mg/ml BSA (US sourced) and 0.05% sodium azide 20 ug 249
Image
V8040SAF-100UG 1 mg/ml in 1X PBS; BSA free, sodium azide free 100 ug 539
Microvalidated
Bulk quote request
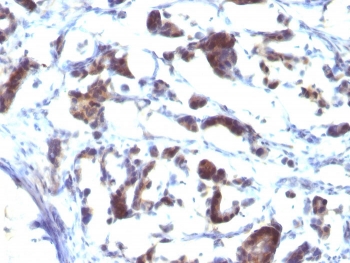
IHC staining of FFPE human gastric carcinoma with ZFYVE28 antibody (clone LST2/2426). HIER: boil tissue sections in pH 9 10mM Tris with 1mM EDTA for 20 min and allow to cool before testing.
Analysis of HuProt(TM) microarray containing more than 19,000 full-length human proteins using ZFYVE28 antibody (clone LST2/2426). These results demonstrate the foremost specificity of the LST2/2426 mAb. Z- and S- score: The Z-score represents the strength of a signal that an antibody (in combination with a fluorescently-tagged anti-IgG secondary Ab) produces when binding to a particular protein on the HuProt(TM) array. Z-scores are described in units of standard deviations (SD's) above the mean value of all signals generated on that array. If the targets on the HuProt(TM) are arranged in descending order of the Z-score, the S-score is the difference (also in units of SD's) between the Z-scores. The S-score therefore represents the relative target specificity of an Ab to its intended target.
SDS-PAGE analysis of purified, BSA-free ZFYVE28 antibody (clone LST2/2426) as confirmation of integrity and purity.
Availability 1-3 business days
Species Reactivity Human
Format Purified
Clonality Monoclonal (mouse origin)
Isotype Mouse IgG2a, kappa
Clone Name LST2/2426
Purity Protein G affinity chromatography
UniProt Q9HCC9
Localization Cytoplasmic
Applications Immunohistochemistry (FFPE) : 0.1-0.2ug/ml
Limitations This ZFYVE28 antibody is available for research use only.
Review this product on BioCompare and get a $20 Amazon gift card

Description

ZFYVE28 belongs to the lst-2 family. It contains 1 FYVE-type zinc finger. The FYVE-type zinc finger mediates the interaction with phosphatidylinositol 3-phosphate (PI3P) and localization to early endosome membranes when not mono-ubiquitinated at Lys-87. Mono-ubiquitination at Lys-87 prevents binding to phosphatidylinositol 3-phosphate (PI3P) and localization to early endosome membranes. ZFYVE28 is a negative regulator of epidermal growth factor receptor (EGFR) signaling. It acts by promoting EGFR degradation in endosomes when not mono-ubiquitinated. The FYVE domain has been identified in a number of unrelated signaling molecules. This protein functions to recruit SMAD2 to the transforming growth factor-beta receptor. The FYVE domain is required to maintain the normal localization of this protein but is not involved in mediating interaction with SMADs.

Application Notes

Optimal dilution of the ZFYVE28 antibody should be determined by the researcher.

Immunogen

A recombinant full-length human protein was used as the immunogen for this ZFYVE28 antibody.

Storage

Store the ZFYVE28 antibody at 2-8oC (with azide) or aliquot and store at -20oC or colder (without azide).

Cross
Bulk Quote Request Form
Name*:
Organization*:
Email*:
Phone Number*:
Catalog No.*:
Comments and Specifics(amount, formulation, etc.)*:
Validation code: Captchapackage Image


Can't read the image? click here to refresh.
    *required field

Your bulk quote request has been submitted successfully!

Please contact us if you have any questions.