• Tel: 858.663.9055
  • SeparatorEmail: info@nsjbio.com
  • Tel: 858.663.9055
  • Email: info@nsjbio.com
Home >> Antibodies >> ZFP64 Antibody

ZFP64 Antibody [clone PCRP-ZFP64-1H2] (V9236)

  Catalog No Formulation Size Price (USD)  
Image V9236-100UG 0.2 mg/ml in 1X PBS with 0.1 mg/ml BSA (US sourced), 0.05% sodium azide 100 ug 539
Image
V9236-20UG 0.2 mg/ml in 1X PBS with 0.1 mg/ml BSA (US sourced), 0.05% sodium azide 20 ug 249
Image
V9236SAF-100UG 1 mg/ml in 1X PBS; BSA free, sodium azide free 100 ug 539
Microvalidated
Bulk quote request
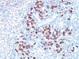
IHC staining of FFPE human lymph node tissue with ZFP64 antibody (clone PCRP-ZFP64-1H2). HIER: boil tissue sections in pH 9 10mM Tris with 1mM EDTA for 20 min and allow to cool before testing.
Immunofluorescent staining of PFA-fixed human HeLa cells using ZFP64 antibody (green, clone PCRP-ZFP64-1H2) and phalloidin (red).
FACS staining of PFA-fixed human HeLa cells with ZFP64 antibody (blue, clone PCRP-ZFP64-1H2), and unstained cells (red).
Analysis of HuProt(TM) microarray containing more than 19,000 full-length human proteins using ZFP64 antibody (clone PCRP-ZFP64-1H2). These results demonstrate the foremost specificity of the PCRP-ZFP64-1H2 mAb. Z- and S- score: The Z-score represents the strength of a signal that an antibody (in combination with a fluorescently-tagged anti-IgG secondary Ab) produces when binding to a particular protein on the HuProt(TM) array. Z-scores are described in units of standard deviations (SD's) above the mean value of all signals generated on that array. If the targets on the HuProt(TM) are arranged in descending order of the Z-score, the S-score is the difference (also in units of SD's) between the Z-scores. The S-score therefore represents the relative target specificity of an Ab to its intended target.
Availability 1-3 business days
Species Reactivity Human
Format Purified
Clonality Monoclonal (mouse origin)
Isotype Mouse IgG2b
Clone Name PCRP-ZFP64-1H2
Purity Protein A/G affinity
UniProt Q9NTW7
Localization Nucleus, Cytoplasm, Cell surface
Applications Flow Cytometry : 1-2ug/million cells
Immunofluorescence : 1-2ug/ml
Western Blot : 1-2ug/ml
Immunohistochemistry (FFPE) : 1-2ug/ml
Limitations This ZFP64 antibody is available for research use only.
Review this product on BioCompare and get a $20 Amazon gift card

Related Products

  • Applications : WB, ELISA
    Reactivity : Human

Description

Zinc-finger proteins contain DNA-binding domains and have a wide variety of functions, most of which encompass some form of transcriptional activation or repression. The majority of zinc-finger proteins contain a Kr ppel-type DNA binding domain and a KRAB domain, which is thought to interact with KAP1, thereby recruiting histone modifying proteins. ZFP64 (Zinc finger protein 64), also known as ZNF338, is a 681 amino acid homolog of the mouse Zfp64 protein and is a member of the Kr ppel C2H2-type zinc-finger family. Localized to the nucleus, ZFP64 contains nine C2H2-type zinc fingers and is thought to be involved in transcriptional regulation. Four isoforms of ZFP64 exist due to alternative splicing events.

Application Notes

Optimal dilution of the ZFP64 antibody should be determined by the researcher.

Immunogen

Recombinant full-length human ZFP64 protein was used as the immunogen for the ZFP64 antibody.

Storage

Aliquot the ZFP64 antibody and store frozen at -20oC or colder. Avoid repeated freeze-thaw cycles.

Cross
Bulk Quote Request Form
Name*:
Organization*:
Email*:
Phone Number*:
Catalog No.*:
Comments and Specifics(amount, formulation, etc.)*:
Validation code: Captchapackage Image


Can't read the image? click here to refresh.
    *required field

Your bulk quote request has been submitted successfully!

Please contact us if you have any questions.