• Tel: 858.663.9055
  • SeparatorEmail: info@nsjbio.com
  • Tel: 858.663.9055
  • Email: info@nsjbio.com
Home >> Antibodies >> Zebrafish Xpo1 Antibody / Xpo1a / Xpo1b / Exportin 1

Zebrafish Xpo1 Antibody / Xpo1a / Xpo1b / Exportin 1 (RZ1324)

  Catalog No Formulation Size Price (USD)  
Image RZ1324 0.5mg/ml if reconstituted with 0.2ml sterile DI water 100 ug 539
Bulk quote request
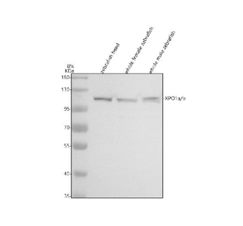
Western blot analysis of Xpo1a/b protein using Zebrafish Xpo1 antibody and 1) zebrafish head, 2) whole female zebrafish, 3) whole male zebrafish tissue lysate. Predicted molecular weight ~123 kDa.
Availability 2-3 weeks
Species Reactivity Zebrafish
Format Antigen affinity purified
Clonality Polyclonal (rabbit origin)
Isotype Rabbit Ig
Purity Antigen affinity chromatography
Buffer Lyophilized from 1X PBS with 2% Trehalose
UniProt E7F0E8 , A0A8M9PPG9
Applications Western Blot : 0.5-1ug/ml
Limitations This Zebrafish Xpo1 antibody is available for research use only.
Review this product on BioCompare and get a $20 Amazon gift card

Related Products

Description

Zebrafish Xpo1, also known as Exportin 1, is a critical protein involved in the nuclear export of cargo molecules, including RNA and ribosomal proteins. Xpo1 functions as a transport receptor that mediates the export of proteins and RNA from the nucleus to the cytoplasm by recognizing cargo molecules and facilitating their passage through the nuclear pore complex. This process is essential for regulating gene expression, RNA processing, and cellular signaling, as it ensures that molecules required for various cellular processes are efficiently transported to the appropriate cellular compartments.

Zebrafish Xpo1 is an ortholog of the human XPO1 protein, and the two share significant sequence and functional conservation. Similar to human Xpo1, zebrafish Xpo1 is involved in the transport of a wide variety of cargo molecules, including ribosomal subunits and RNA species such as mRNA, tRNA, and snRNA. This makes Xpo1 essential for cellular homeostasis and the proper functioning of many cellular systems, including gene expression, protein synthesis, and stress responses.

Zebrafish Xpo1 exists in multiple isoforms, which may have specialized roles in different tissues or developmental stages. The primary isoform is responsible for most of the transport activity, while other isoforms may be involved in specific cargo recognition or subcellular localization. The diversity of Xpo1 isoforms allows for fine-tuned regulation of nuclear export and contributes to the adaptability of the cellular transport system in zebrafish.

The use of a Zebrafish Xpo1 antibody allows researchers to study the expression, localization, and function of Xpo1 during various stages of zebrafish development. Zebrafish Xpo1 antibody reagents are essential tools for applications such as western blot, immunohistochemistry, immunofluorescence, and ELISA, enabling the detection and analysis of Xpo1 isoforms and their involvement in nuclear export pathways. A Zebrafish Xpo1 antibody can help identify how perturbations in Xpo1 function affect cellular processes like mRNA transport, protein synthesis, and cell signaling.

By using a high-quality Zebrafish Xpo1 antibody, scientists can gain insights into the regulation of nuclear-cytoplasmic transport, a crucial aspect of cellular function that is conserved across species.

Application Notes

Optimal dilution of the Zebrafish Xpo1 antibody should be determined by the researcher.

Immunogen

E. coli-derived zebrafish Xpo1 recombinant protein (amino acids H988-L1054) was used as the immunogen for the Zebrafish Xpo1 antibody.

Storage

After reconstitution, the Zebrafish Xpo1 antibody can be stored for up to one month at 4oC. For long-term, aliquot and store at -20oC. Avoid repeated freezing and thawing.

Cross
Bulk Quote Request Form
Name*:
Organization*:
Email*:
Phone Number*:
Catalog No.*:
Comments and Specifics(amount, formulation, etc.)*:
Validation code: Captchapackage Image


Can't read the image? click here to refresh.
    *required field

Your bulk quote request has been submitted successfully!

Please contact us if you have any questions.