• Tel: 858.663.9055
  • SeparatorEmail: info@nsjbio.com
  • Tel: 858.663.9055
  • Email: info@nsjbio.com
Home >> Antibodies >> Zebrafish Twist Antibody / Twist1a / Twist1b / Twist2

Zebrafish Twist Antibody / Twist1a / Twist1b / Twist2 (RZ1322)

  Catalog No Formulation Size Price (USD)  
Image RZ1322 0.5mg/ml if reconstituted with 0.2ml sterile DI water 100 ug 539
Bulk quote request
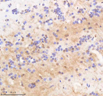
IHC staining of FFPE zebrafish brain tissue with Twist antibody, HRP-labeled secondary and DAB substrate. HIER: boil tissue sections in pH8 EDTA for 20 min and allow to cool before testing.
Western blot analysis of Twist1a/1b/2 protein using Zebrafish Twist1 antibody and 1) zebrafish head tissue lysates and 2) whole male zebrafish lysates. Predicted molecular weight ~19 kDa.
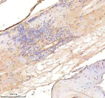
IHC staining of FFPE zebrafish spinal cord tissue with Twist antibody, HRP-labeled secondary and DAB substrate. HIER: boil tissue sections in pH8 EDTA for 20 min and allow to cool before testing.
IHC staining of FFPE zebrafish muscle tissue with Twist antibody, HRP-labeled secondary and DAB substrate. HIER: boil tissue sections in pH8 EDTA for 20 min and allow to cool before testing.
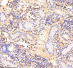
IHC staining of FFPE zebrafish kidney tissue with Twist antibody, HRP-labeled secondary and DAB substrate. HIER: boil tissue sections in pH8 EDTA for 20 min and allow to cool before testing.
Availability 2-3 weeks
Species Reactivity Zebrafish
Format Antigen affinity purified
Clonality Polyclonal (rabbit origin)
Isotype Rabbit Ig
Purity Antigen affinity chromatography
Buffer Lyophilized from 1X PBS with 2% Trehalose
UniProt Q9PTE3 , Q568M7 , Q5XJI8
Localization Nuclear
Applications Western Blot : 0.5-1ug/ml
Immunohistochemistry (FFPE) : 2-5ug/ml
Limitations This Zebrafish Twist antibody is available for research use only.
Review this product on BioCompare and get a $20 Amazon gift card

Related Products

Description

Zebrafish Twist, also known as twist-related protein, is a key transcription factor that regulates mesodermal and neural development during early embryogenesis. Twist is a basic helix-loop-helix (bHLH) protein that plays a critical role in the process of mesoderm induction, neural tube formation, and muscle development. It is a major regulator of epithelial-mesenchymal transition (EMT), a process essential for cell migration and tissue morphogenesis during development.

Zebrafish Twist is an ortholog of the human TWIST1 protein, with high sequence conservation and functional similarity. Like its human counterpart, Zebrafish Twist activates target genes that are involved in cell differentiation, migration, and the regulation of cellular plasticity. Mutations or dysregulation of Twist in humans can lead to congenital syndromes, such as Saethre-Chotzen syndrome, which is characterized by craniofacial abnormalities and other developmental defects.

Zebrafish Twist exists in multiple isoforms, including Isoform 1a, Isoform 1b, and Isoform 2, each of which may have distinct roles in development. Isoform 1a is typically involved in early developmental processes, such as mesodermal patterning and limb formation, while Isoform 1b and Isoform 2 have been shown to participate in the regulation of more specific aspects of neural crest migration and other specialized cell differentiation pathways. These isoforms provide valuable models for studying the diversity of Twist functions and their roles in development and disease.

The use of a Zebrafish Twist antibody is valuable for investigating the expression and activity of Twist isoforms in various developmental contexts. These antibodies are useful for applications such as western blot, immunohistochemistry, immunofluorescence, and ELISA to study the spatial and temporal expression patterns of Twist during zebrafish development. A Zebrafish Twist antibody can help researchers understand the role of Twist in regulating cellular behaviors like migration, differentiation, and morphogenesis.

By using a high-quality Zebrafish Twist antibody, scientists can gain insights into the molecular mechanisms that govern development, as well as the effects of mutations or environmental factors on Twist-related signaling pathways.

Application Notes

Optimal dilution of the Zebrafish Twist antibody should be determined by the researcher.

Immunogen

A synthetic peptide corresponding to a sequence in the middle region of zebrafish TWIST protein was used as the immunogen for the Zebrafish Twist antibody.

Storage

After reconstitution, the Zebrafish Twist antibody can be stored for up to one month at 4oC. For long-term, aliquot and store at -20oC. Avoid repeated freezing and thawing.

Cross
Bulk Quote Request Form
Name*:
Organization*:
Email*:
Phone Number*:
Catalog No.*:
Comments and Specifics(amount, formulation, etc.)*:
Validation code: Captchapackage Image


Can't read the image? click here to refresh.
    *required field

Your bulk quote request has been submitted successfully!

Please contact us if you have any questions.