• Tel: 858.663.9055
  • SeparatorEmail: info@nsjbio.com
  • Tel: 858.663.9055
  • Email: info@nsjbio.com
Home >> Antibodies >> Zebrafish Spi1b Antibody | Pu.1b | Spi1

Zebrafish Spi1b Antibody | Pu.1b | Spi1 (RZ1314)

  Catalog No Formulation Size Price (USD)  
Image RZ1314 0.5mg/ml if reconstituted with 0.2ml sterile DI water 100 ug 539
Bulk quote request
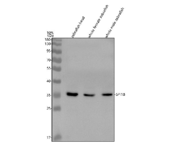
Western blot analysis of Spi1b protein using Zebrafish Spi1b antibody and 1) zebrafish head, 2) whole female zebrafish, 3) whole male zebrafish and 4) zebrafish embryo tissue lysate. Predicted molecular weight ~35 kDa.
Availability 2-3 weeks
Species Reactivity Zebrafish
Format Antigen affinity purified
Clonality Polyclonal (rabbit origin)
Isotype Rabbit Ig
Purity Antigen affinity chromatography
Buffer Lyophilized from 1X PBS with 2% Trehalose
UniProt A0A8M2BG46
Applications Western Blot : 0.5-1ug/ml
Limitations This Zebrafish Spi1b antibody is available for research use only.
Review this product on BioCompare and get a $20 Amazon gift card

Related Products

Description

Zebrafish Spi1b, also known as PU.1b, is a transcription factor that belongs to the ETS family of DNA binding proteins. Spi1b plays a critical role in the development of hematopoietic lineages, particularly in the differentiation of myeloid and lymphoid cells. It regulates genes involved in immune cell development, function, and response, making it an essential factor for studying blood formation and immune system regulation during zebrafish embryogenesis.

Zebrafish Spi1b is an ortholog of the human SPI1 protein, also known as PU.1, and shares high sequence and functional conservation. Similar to its human counterpart, Spi1b binds to specific ETS motifs in gene promoters and enhancers to activate or repress target genes. It is particularly important in the early stages of myelopoiesis and is a key regulator of macrophage and neutrophil lineage commitment.

The use of a Zebrafish Spi1b antibody allows researchers to examine Spi1b expression and localization in developing blood and immune cells. Such antibodies are essential for applications including western blot, immunohistochemistry, and immunofluorescence, enabling detailed characterization of hematopoietic cell populations. A Zebrafish Spi1b antibody can also be used to investigate transcriptional networks controlling immune development and to study the effects of genetic or chemical perturbations on blood cell formation.

There are no known isoforms of zebrafish Spi1b, and its expression is tightly regulated during embryogenesis and hematopoietic stem cell differentiation. Using a high-quality Zebrafish Spi1b antibody, researchers can gain insights into conserved mechanisms of immune regulation that are relevant to both zebrafish and humans.

Application Notes

Optimal dilution of the Zebrafish Spi1b antibody should be determined by the researcher.

Immunogen

E. coli-derived zebrafish Spi1b recombinant protein (amino acids M1-M297) was used as the immunogen for the Zebrafish Spi1b antibody.

Storage

After reconstitution, the Zebrafish Spi1b antibody can be stored for up to one month at 4oC. For long-term, aliquot and store at -20oC. Avoid repeated freezing and thawing.

Cross
Bulk Quote Request Form
Name*:
Organization*:
Email*:
Phone Number*:
Catalog No.*:
Comments and Specifics(amount, formulation, etc.)*:
Validation code: Captchapackage Image


Can't read the image? click here to refresh.
    *required field

Your bulk quote request has been submitted successfully!

Please contact us if you have any questions.