• Tel: 858.663.9055
  • SeparatorEmail: info@nsjbio.com
  • Tel: 858.663.9055
  • Email: info@nsjbio.com
Home >> Antibodies >> Zebrafish Sf3b3 Antibody / Splicing factor 3b subunit 3

Zebrafish Sf3b3 Antibody / Splicing factor 3b subunit 3 (RZ1308)

  Catalog No Formulation Size Price (USD)  
Image RZ1308 0.5mg/ml if reconstituted with 0.2ml sterile DI water 100 ug 539
Bulk quote request
Immunofluorescent staining of Sf3b3 protein using Zebrafish Sf3b3 antibody. HIER: boil tissue sections in pH8 EDTA for 20 min and allow to cool before testing.
IHC staining of zebrafish Sf3b3 protein using Zebrafish Sf3b3 antibody, HRP-labeled secondary and DAB substrate. Sf3b3 was detected in a paraffin-embedded section of zebrafish brain tissue. HIER: boil tissue sections in pH8 EDTA for 20 min and allow to cool before testing.
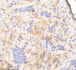
IHC staining of zebrafish Sf3b3 protein using Zebrafish Sf3b3 antibody, HRP-labeled secondary and DAB substrate. Sf3b3 was detected in a paraffin-embedded section of zebrafish heart tissue. HIER: boil tissue sections in pH8 EDTA for 20 min and allow to cool before testing.
IHC staining of zebrafish Sf3b3 protein using Zebrafish Sf3b3 antibody, HRP-labeled secondary and DAB substrate. Sf3b3 was detected in a paraffin-embedded section of zebrafish muscle tissue. HIER: boil tissue sections in pH8 EDTA for 20 min and allow to cool before testing.
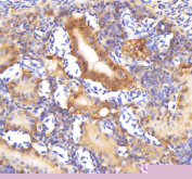
IHC staining of zebrafish Sf3b3 protein using Zebrafish Sf3b3 antibody, HRP-labeled secondary and DAB substrate. Sf3b3 was detected in a paraffin-embedded section of zebrafish kidney tissue. HIER: boil tissue sections in pH8 EDTA for 20 min and allow to cool before testing.
Availability 2-3 weeks
Species Reactivity Zebrafish
Format Antigen affinity purified
Clonality Polyclonal (rabbit origin)
Isotype Rabbit Ig
Purity Antigen affinity chromatography
Buffer Lyophilized from 1X PBS with 2% Trehalose
UniProt Q1LVE8
Localization Nuclear
Applications Immunohistochemistry (FFPE) : 2-5ug/ml
Immunofluorescence : 5ug/ml
Limitations This Zebrafish Sf3b3 antibody is available for research use only.
Review this product on BioCompare and get a $20 Amazon gift card

Related Products

Description

Zebrafish Sf3b3, also known as splicing factor 3B subunit 3, is an essential component of the spliceosome, the molecular machinery responsible for the removal of introns from pre messenger RNA. Sf3b3 is part of the SF3B complex within the U2 small nuclear ribonucleoprotein and plays a crucial role in recognizing and stabilizing the branch point sequence during the splicing process. This activity ensures accurate intron removal and the generation of mature RNA transcripts, which are necessary for proper gene expression.

Zebrafish Sf3b3 is an ortholog of the human SF3B3 protein, with strong sequence conservation and similar functional roles. Like its human counterpart, zebrafish Sf3b3 is indispensable for the regulation of alternative splicing, which contributes to transcriptome diversity and precise control of protein synthesis. Disruption of Sf3b3 function can have severe effects on embryonic development and cellular homeostasis due to the widespread impact of splicing errors.

Currently, no distinct isoforms of zebrafish Sf3b3 have been described, but its role as part of the SF3B complex is well established and highly conserved across vertebrate species. The zebrafish model provides a powerful system to study the function of Sf3b3 during development and to investigate splicing defects that may be linked to human diseases.

Antibodies against zebrafish Sf3b3 protein are valuable for studying spliceosome assembly, RNA processing, and transcriptional regulation. These antibodies are commonly applied in techniques such as western blot, immunohistochemistry, immunofluorescence, and ELISA, enabling detailed investigations of splicing factor expression and localization.

Application Notes

Optimal dilution of the Zebrafish Sf3b3 antibody should be determined by the researcher.

Immunogen

E. coli-derived zebrafish Sf3b3 recombinant protein (amino acids R728-E982) was used as the immunogen for the Zebrafish Sf3b3 antibody.

Storage

After reconstitution, the Zebrafish Sf3b3 antibody can be stored for up to one month at 4oC. For long-term, aliquot and store at -20oC. Avoid repeated freezing and thawing.

Cross
Bulk Quote Request Form
Name*:
Organization*:
Email*:
Phone Number*:
Catalog No.*:
Comments and Specifics(amount, formulation, etc.)*:
Validation code: Captchapackage Image


Can't read the image? click here to refresh.
    *required field

Your bulk quote request has been submitted successfully!

Please contact us if you have any questions.