• Tel: 858.663.9055
  • SeparatorEmail: info@nsjbio.com
  • Tel: 858.663.9055
  • Email: info@nsjbio.com
Home >> Antibodies >> Zebrafish Sf3a1 Antibody / Splicing factor 3A subunit 1

Zebrafish Sf3a1 Antibody / Splicing factor 3A subunit 1 (RZ1307)

  Catalog No Formulation Size Price (USD)  
Image RZ1307 0.5mg/ml if reconstituted with 0.2ml sterile DI water 100 ug 539
Bulk quote request
Immunofluorescent staining of Sf3a1 protein using Zebrafish Sf3a1 antibody. HIER: boil tissue sections in pH8 EDTA for 20 min and allow to cool before testing.
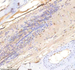
IHC staining of zebrafish Sf3a1 protein using Zebrafish Sf3a1 antibody, HRP-labeled secondary and DAB substrate. Sf3a1 was detected in a paraffin-embedded section of zebrafish spinal cord tissue. HIER: boil tissue sections in pH8 EDTA for 20 min and allow to cool before testing.
IHC staining of zebrafish Sf3a1 protein using Zebrafish Sf3a1 antibody, HRP-labeled secondary and DAB substrate. Sf3a1 was detected in a paraffin-embedded section of zebrafish muscle tissue. HIER: boil tissue sections in pH8 EDTA for 20 min and allow to cool before testing.
IHC staining of zebrafish Sf3a1 protein using Zebrafish Sf3a1 antibody, HRP-labeled secondary and DAB substrate. Sf3a1 was detected in a paraffin-embedded section of zebrafish kidney tissue. HIER: boil tissue sections in pH8 EDTA for 20 min and allow to cool before testing.
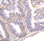
IHC staining of zebrafish Sf3a1 protein using Zebrafish Sf3a1 antibody, HRP-labeled secondary and DAB substrate. Sf3a1 was detected in a paraffin-embedded section of zebrafish colon tissue. HIER: boil tissue sections in pH8 EDTA for 20 min and allow to cool before testing.
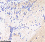
IHC staining of zebrafish Sf3a1 protein using Zebrafish Sf3a1 antibody, HRP-labeled secondary and DAB substrate. Sf3a1 was detected in a paraffin-embedded section of zebrafish brain tissue. HIER: boil tissue sections in pH8 EDTA for 20 min and allow to cool before testing.
IHC staining of zebrafish Sf3a1 protein using Zebrafish Sf3a1 antibody, HRP-labeled secondary and DAB substrate. Sf3a1 was detected in a paraffin-embedded section of zebrafish eye tissue. HIER: boil tissue sections in pH8 EDTA for 20 min and allow to cool before testing.
Availability 2-3 weeks
Species Reactivity Zebrafish
Format Antigen affinity purified
Clonality Polyclonal (rabbit origin)
Isotype Rabbit Ig
Purity Antigen affinity chromatography
Buffer Lyophilized from 1X PBS with 2% Trehalose
UniProt Q90X41
Localization Nuclear
Applications Immunohistochemistry (FFPE) : 2-5ug/ml
Immunofluorescence : 5ug/ml
Limitations This Zebrafish Sf3a1 antibody is available for research use only.
Review this product on BioCompare and get a $20 Amazon gift card

Related Products

Description

Zebrafish Sf3a1, also known as splicing factor 3A subunit 1, is a critical component of the spliceosome complex that regulates the removal of introns from pre messenger RNA. Sf3a1 is part of the SF3A protein complex, which works together with the SF3B complex to stabilize the binding of the U2 small nuclear ribonucleoprotein to the branch point sequence during splicing. This step is essential for accurate and efficient splicing, which in turn is vital for the generation of mature and functional messenger RNA transcripts.

Zebrafish Sf3a1 is an ortholog of the human SF3A1 protein and shares significant sequence and functional conservation. Like its human counterpart, zebrafish Sf3a1 is required for normal RNA processing and proper regulation of gene expression. Due to the importance of splicing in controlling developmental and cellular processes, Sf3a1 function is essential during embryogenesis and tissue differentiation.

Currently, there are no known isoforms of zebrafish Sf3a1 that have been characterized, but as with other splicing factors, alternative splicing may generate additional transcript variants that are yet to be fully studied. Research into zebrafish Sf3a1 offers valuable insights into conserved mechanisms of splicing regulation and its roles in development and disease.

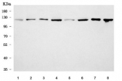
Antibodies targeting zebrafish Sf3a1 protein are useful tools for examining spliceosomal assembly, RNA processing, and transcriptional regulation. These antibodies are commonly used in applications such as western blot, immunohistochemistry, immunofluorescence, and ELISA, supporting a broad range of molecular and developmental biology studies.

Application Notes

Optimal dilution of the Zebrafish Sf3a1 antibody should be determined by the researcher.

Immunogen

E. coli-derived zebrafish Sf3a1 recombinant protein (amino acids K16-P646) was used as the immunogen for the Zebrafish Sf3a1 antibody.

Storage

After reconstitution, the Zebrafish Sf3a1 antibody can be stored for up to one month at 4oC. For long-term, aliquot and store at -20oC. Avoid repeated freezing and thawing.

Cross
Bulk Quote Request Form
Name*:
Organization*:
Email*:
Phone Number*:
Catalog No.*:
Comments and Specifics(amount, formulation, etc.)*:
Validation code: Captchapackage Image


Can't read the image? click here to refresh.
    *required field

Your bulk quote request has been submitted successfully!

Please contact us if you have any questions.