• Tel: 858.663.9055
  • SeparatorEmail: info@nsjbio.com
  • Tel: 858.663.9055
  • Email: info@nsjbio.com
Home >> Antibodies >> Zebrafish Sf1 Antibody / Splicing factor 1

Zebrafish Sf1 Antibody / Splicing factor 1 (RZ1033)

  Catalog No Formulation Size Price (USD)  
Image RZ1033 0.5mg/ml if reconstituted with 0.2ml sterile DI water 100 ug 539
Bulk quote request
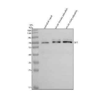
Western blot analysis of Sf1 protein using Zebrafish Sf1 antibody and 1) zebrafish head, 2) whole female zebrafish and 3) whole male zebrafish tissue lysate. Predicted molecular weight ~68 kDa.
Availability 2-3 weeks
Species Reactivity Zebrafish
Format Antigen affinity purified
Clonality Polyclonal (rabbit origin)
Isotype Rabbit Ig
Purity Antigen affinity chromatography
Buffer Lyophilized from 1X PBS with 2% Trehalose
UniProt A0A0R4IBT0
Applications Western Blot : 0.5-1 ug/ml
Limitations This Zebrafish Sf1 antibody is available for research use only.
Review this product on BioCompare and get a $20 Amazon gift card

Related Products

Description

Predicted to enable mRNA binding activity. Acts upstream of or within retina development in camera-type eye. Predicted to be part of spliceosomal complex. Predicted to be active in nucleus. Orthologous to human SF1 (splicing factor 1).

Application Notes

Optimal dilution of the Zebrafish Sf1 antibody should be determined by the researcher.

Immunogen

An E.coli-derived zebrafish Sf1 recombinant protein (amino acids R232-Q338) was used as the immunogen for the Zebrafish Sf1 antibody.

Storage

After reconstitution, the Zebrafish Sf1 antibody can be stored for up to one month at 4oC. For long-term, aliquot and store at -20oC. Avoid repeated freezing and thawing.

Cross
Bulk Quote Request Form
Name*:
Organization*:
Email*:
Phone Number*:
Catalog No.*:
Comments and Specifics(amount, formulation, etc.)*:
Validation code: Captchapackage Image


Can't read the image? click here to refresh.
    *required field

Your bulk quote request has been submitted successfully!

Please contact us if you have any questions.