• Tel: 858.663.9055
  • SeparatorEmail: info@nsjbio.com
  • Tel: 858.663.9055
  • Email: info@nsjbio.com
Home >> Antibodies >> Zebrafish Psmd2 Antibody / 26S proteasome non-ATPase regulatory subunit 2

Zebrafish Psmd2 Antibody / 26S proteasome non-ATPase regulatory subunit 2 (RZ1292)

  Catalog No Formulation Size Price (USD)  
Image RZ1292 0.5mg/ml if reconstituted with 0.2ml sterile DI water 100 ug 539
Bulk quote request
IHC staining of FFPE zebrafish eye tissue with Psmd2 antibody, HRP-labeled secondary and DAB substrate. HIER: boil tissue sections in pH8 EDTA for 20 min and allow to cool before testing.
Western blot analysis of Psmd2 protein using Zebrafish Psmd2 antibody and 1) zebrafish head, 2) whole female zebrafish, 3) whole male zebrafish and 4) zebrafish embryo tissue lysate. Predicted molecular weight ~99 kDa.
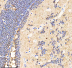
IHC staining of FFPE zebrafish brain tissue with Psmd2 antibody, HRP-labeled secondary and DAB substrate. HIER: boil tissue sections in pH8 EDTA for 20 min and allow to cool before testing.
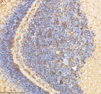
IHC staining of FFPE zebrafish spinal tissue with Psmd2 antibody, HRP-labeled secondary and DAB substrate. HIER: boil tissue sections in pH8 EDTA for 20 min and allow to cool before testing.
Availability 2-3 weeks
Species Reactivity Zebrafish
Format Antigen affinity purified
Clonality Polyclonal (rabbit origin)
Isotype Rabbit Ig
Purity Antigen affinity chromatography
Buffer Lyophilized from 1X PBS with 2% Trehalose
UniProt Q6PHK7
Localization Cytoplasmic, Nuclear
Applications Western Blot : 0.5-1ug/ml
Immunohistochemistry (FFPE) : 2-5ug/ml
Limitations This Zebrafish Psmd2 antibody is available for research use only.
Review this product on BioCompare and get a $20 Amazon gift card

Description

Psmd2 (Proteasome 26S subunit, non-ATPase 2) is a crucial component of the 26S proteasome, a multi-subunit complex responsible for the ATP-dependent degradation of ubiquitinated proteins. It is part of the 19S regulatory particle of the proteasome, which facilitates the recognition, unfolding, and translocation of substrates into the 20S catalytic core for proteolysis. Psmd2 plays a key role in regulating protein turnover, influencing the cell cycle, and maintaining cellular homeostasis by controlling the degradation of a wide range of regulatory and signaling proteins.

In zebrafish, Psmd2 is the ortholog of the human PSMD2 gene, showing significant sequence similarity and functional conservation between the two species. The zebrafish Psmd2 protein shares essential domains responsible for interaction with other proteasomal subunits and regulatory factors, enabling the proper assembly and function of the proteasome complex.

Psmd2 in zebrafish may also have isoforms resulting from alternative splicing events. These isoforms may differ in their tissue-specific expression or regulatory roles, potentially affecting proteasomal activity in distinct developmental stages or cellular contexts. The diversity of these isoforms allows for fine-tuned regulation of protein degradation in response to various cellular stresses, such as oxidative stress or DNA damage.

In zebrafish, Psmd2 is expressed in a wide range of tissues, particularly in those with high cell turnover and protein synthesis, such as the brain, liver, and kidney. This pattern of expression reflects the essential role of Psmd2 in maintaining protein quality control, regulating the degradation of misfolded or damaged proteins, and modulating signaling pathways critical for cellular functions.

The zebrafish model, with its conserved proteasomal components, is valuable for studying proteasome-related diseases in humans. Disruptions in PSMD2 function are associated with various human disorders, including neurodegenerative diseases and cancers, where defective protein degradation leads to the accumulation of abnormal proteins. Zebrafish Psmd2 serves as an excellent model for understanding the mechanisms of proteasomal dysfunction and for screening potential therapies targeting the proteasome.

Application Notes

Optimal dilution of the Zebrafish Psmd2 antibody should be determined by the researcher.

Immunogen

E. coli-derived zebrafish Psmd2 recombinant protein (amino acids S209-A897) was used as the immunogen for the Zebrafish Psmd2 antibody.

Storage

After reconstitution, the Zebrafish Psmd2 antibody can be stored for up to one month at 4oC. For long-term, aliquot and store at -20oC. Avoid repeated freezing and thawing.

Cross
Bulk Quote Request Form
Name*:
Organization*:
Email*:
Phone Number*:
Catalog No.*:
Comments and Specifics(amount, formulation, etc.)*:
Validation code: Captchapackage Image


Can't read the image? click here to refresh.
    *required field

Your bulk quote request has been submitted successfully!

Please contact us if you have any questions.