• Tel: 858.663.9055
  • SeparatorEmail: info@nsjbio.com
  • Tel: 858.663.9055
  • Email: info@nsjbio.com
Home >> Antibodies >> Zebrafish Psma5 Antibody / Proteasome subunit alpha type 5

Zebrafish Psma5 Antibody / Proteasome subunit alpha type 5 (RZ1286)

  Catalog No Formulation Size Price (USD)  
Image RZ1286 0.5mg/ml if reconstituted with 0.2ml sterile DI water 100 ug 539
Bulk quote request
IHC staining of FFPE zebrafish spinal tissue with Psma5 antibody, HRP-labeled secondary and DAB substrate. HIER: boil tissue sections in pH8 EDTA for 20 min and allow to cool before testing.
Western blot analysis of Psma5 protein using Zebrafish Psma5 antibody and 1) zebrafish head, 2) whole female zebrafish, 3) whole male zebrafish and 4) zebrafish embryo tissue lysate. Predicted molecular weight ~26 kDa.
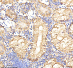
IHC staining of FFPE zebrafish kidney tissue with Psma5 antibody, HRP-labeled secondary and DAB substrate. HIER: boil tissue sections in pH8 EDTA for 20 min and allow to cool before testing.
Availability 2-3 weeks
Species Reactivity Zebrafish
Format Antigen affinity purified
Clonality Polyclonal (rabbit origin)
Isotype Rabbit Ig
Purity Antigen affinity chromatography
Buffer Lyophilized from 1X PBS with 2% Trehalose
UniProt Q6TGV6
Localization Cytoplasmic, Nuclear
Applications Western Blot : 0.5-1ug/ml
Immunohistochemistry (FFPE) : 2-5ug/ml
Limitations This Zebrafish Psma5 antibody is available for research use only.
Review this product on BioCompare and get a $20 Amazon gift card

Related Products

Description

Psma5 (Proteasome subunit alpha type 5) is a structural component of the 20S core particle of the proteasome, a key intracellular complex responsible for the ATP-independent degradation of ubiquitinated proteins. Psma5 belongs to the alpha subunit family, which forms the two outer rings of the proteasome core. These alpha subunits regulate substrate entry into the proteolytic chamber formed by the beta subunits and are essential for proteasome assembly, stability, and function.

In zebrafish, Psma5 is the ortholog of the human PSMA5 gene. The protein sequence and functional domains are highly conserved between zebrafish and humans, indicating a shared role in proteasome-mediated protein degradation. This evolutionary conservation supports the use of zebrafish as a model organism for studying proteostasis, developmental regulation, and disease mechanisms related to proteasome dysfunction.

Zebrafish Psma5 may have multiple isoforms generated through alternative splicing. These isoforms could allow tissue-specific or developmental stage-specific regulation of proteasome activity, although the canonical isoform is primarily involved in the assembly and function of the standard 20S proteasome.

During zebrafish embryogenesis, Psma5 is broadly expressed in rapidly proliferating and metabolically active tissues, including the developing brain, eye, musculature, and digestive organs. Its expression reflects the universal need for controlled protein degradation in processes such as cell cycle progression, signal transduction, and removal of damaged or misfolded proteins.

In human biology, defects in proteasome components including PSMA5 have been associated with neurodegenerative diseases, cancers, and immune system disorders. Zebrafish Psma5, due to its conserved function, serves as a valuable model for functional studies of the proteasome and for the development of therapeutics targeting the ubiquitin-proteasome system.

Application Notes

Optimal dilution of the Zebrafish Psma5 antibody should be determined by the researcher.

Immunogen

E. coli-derived zebrafish Psma5 recombinant protein (amino acids M1-I241) was used as the immunogen for the Zebrafish Psma5 antibody.

Storage

After reconstitution, the Zebrafish Psma5 antibody can be stored for up to one month at 4oC. For long-term, aliquot and store at -20oC. Avoid repeated freezing and thawing.

Cross
Bulk Quote Request Form
Name*:
Organization*:
Email*:
Phone Number*:
Catalog No.*:
Comments and Specifics(amount, formulation, etc.)*:
Validation code: Captchapackage Image


Can't read the image? click here to refresh.
    *required field

Your bulk quote request has been submitted successfully!

Please contact us if you have any questions.