• Tel: 858.663.9055
  • SeparatorEmail: info@nsjbio.com
  • Tel: 858.663.9055
  • Email: info@nsjbio.com
Home >> Antibodies >> Zebrafish Ppp3r1 Antibody / Ppp3r1a / Ppp3r1b

Zebrafish Ppp3r1 Antibody / Ppp3r1a / Ppp3r1b (RZ1278)

  Catalog No Formulation Size Price (USD)  
Image RZ1278 0.5mg/ml if reconstituted with 0.2ml sterile DI water 100 ug 539
Bulk quote request
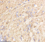
IHC staining of FFPE zebrafish heart tissue with Ppp3r1 antibody, HRP-labeled secondary and DAB substrate. HIER: boil tissue sections in pH8 EDTA for 20 min and allow to cool before testing.
Western blot analysis of Ppp3r1a/b protein using Zebrafish Ppp3r1 antibody and 1) zebrafish head, 2) whole female zebrafish, 3) whole male zebrafish tissue lysate. Predicted molecular weight ~19 kDa.
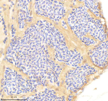
IHC staining of FFPE zebrafish brain tissue with Ppp3r1 antibody, HRP-labeled secondary and DAB substrate. HIER: boil tissue sections in pH8 EDTA for 20 min and allow to cool before testing.
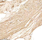
IHC staining of FFPE zebrafish spinal tissue with Ppp3r1 antibody, HRP-labeled secondary and DAB substrate. HIER: boil tissue sections in pH8 EDTA for 20 min and allow to cool before testing.
Availability 2-3 weeks
Species Reactivity Zebrafish
Format Antigen affinity purified
Clonality Polyclonal (rabbit origin)
Isotype Rabbit Ig
Purity Antigen affinity chromatography
Buffer Lyophilized from 1X PBS with 2% Trehalose
UniProt A0A8M3BEF6 , Q66HZ0
Applications Western Blot : 0.5-1ug/ml
Immunohistochemistry (FFPE) : 2-5ug/ml
Limitations This Zebrafish Ppp3r1 antibody is available for research use only.
Review this product on BioCompare and get a $20 Amazon gift card

Related Products

Description

Ppp3r1 (Protein phosphatase 3 regulatory subunit 1), also known as PP2B regulatory subunit, is a critical protein involved in the regulation of calcium-dependent signaling pathways. It functions as a regulatory subunit for the protein phosphatase 3 (PP3), also known as calcineurin, a serine/threonine phosphatase that plays a significant role in regulating immune responses, neural development, and cardiac function. Ppp3r1 interacts with calcineurin to modulate its phosphatase activity, influencing various cellular processes, including transcription, protein synthesis, and cellular differentiation.

In zebrafish, Ppp3r1 is an ortholog of the human PPP3R1 gene. The zebrafish and human versions of Ppp3r1 exhibit significant sequence conservation, especially in regions that are essential for interaction with calcineurin. This conservation suggests that Ppp3r1 in zebrafish performs similar regulatory functions as its human counterpart in calcium-mediated signaling and cellular processes. The zebrafish model is particularly useful for studying calcium signaling, immune regulation, and neural and cardiac development.

Zebrafish Ppp3r1 may also have isoforms, which are generated through alternative splicing. These isoforms could exhibit tissue-specific expression and play distinct roles in regulating calcineurin activity in different physiological conditions or during developmental stages. Isoform diversity may allow for fine-tuned regulation of calcineurin signaling in response to various cellular and environmental cues.

In zebrafish, Ppp3r1 is widely expressed in neural tissues, cardiac cells, and immune cells, reflecting its essential roles in neural development, immune responses, and cardiac function. Its involvement in calcineurin activation plays a pivotal role in regulating gene expression and cell differentiation. Disruption of Ppp3r1 or calcineurin signaling in zebrafish can lead to defects in neural patterning, immune response modulation, and cardiac development, providing a valuable model for studying diseases related to abnormal calcium signaling, such as cardiovascular diseases, neurodegenerative disorders, and autoimmune diseases.

Application Notes

Optimal dilution of the Zebrafish Ppp3r1 antibody should be determined by the researcher.

Immunogen

E. coli-derived zebrafish Ppp3r1 recombinant protein (amino acids E53-V175) was used as the immunogen for the Zebrafish Ppp3r1 antibody. This antibody will detect both the a and b isoform.

Storage

After reconstitution, the Zebrafish Ppp3r1 antibody can be stored for up to one month at 4oC. For long-term, aliquot and store at -20oC. Avoid repeated freezing and thawing.

Cross
Bulk Quote Request Form
Name*:
Organization*:
Email*:
Phone Number*:
Catalog No.*:
Comments and Specifics(amount, formulation, etc.)*:
Validation code: Captchapackage Image


Can't read the image? click here to refresh.
    *required field

Your bulk quote request has been submitted successfully!

Please contact us if you have any questions.