• Tel: 858.663.9055
  • SeparatorEmail: info@nsjbio.com
  • Tel: 858.663.9055
  • Email: info@nsjbio.com
Home >> Antibodies >> Zebrafish Polr2d Antibody / Rpb4 / DNA-directed RNA polymerase II subunit RPB4

Zebrafish Polr2d Antibody / Rpb4 / DNA-directed RNA polymerase II subunit RPB4 (RZ1274)

  Catalog No Formulation Size Price (USD)  
Image RZ1274 0.5mg/ml if reconstituted with 0.2ml sterile DI water 100 ug 539
Bulk quote request
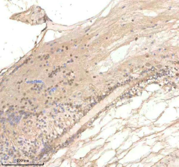
IHC staining of zebrafish Polr2d protein using Zebrafish Polr2d antibody, HRP-labeled secondary and DAB substrate. Polr2d was detected in a paraffin-embedded section of zebrafish spinal tissue. HIER: boil tissue sections in pH8 EDTA for 20 min and allow to cool before testing.
IHC staining of zebrafish Polr2d protein using Zebrafish Polr2d antibody, HRP-labeled secondary and DAB substrate. Polr2d was detected in a paraffin-embedded section of zebrafish brain tissue. HIER: boil tissue sections in pH8 EDTA for 20 min and allow to cool before testing.
IHC staining of zebrafish Polr2d protein using Zebrafish Polr2d antibody, HRP-labeled secondary and DAB substrate. Polr2d was detected in a paraffin-embedded section of zebrafish muscle tissue. HIER: boil tissue sections in pH8 EDTA for 20 min and allow to cool before testing.
Availability 2-3 weeks
Species Reactivity Zebrafish
Format Antigen affinity purified
Clonality Polyclonal (rabbit origin)
Isotype Rabbit Ig
Purity Antigen affinity chromatography
Buffer Lyophilized from 1X PBS with 2% Trehalose
UniProt A0A8M1N062
Localization Nuclear
Applications Immunohistochemistry (FFPE) : 2-5ug/ml
Limitations This Zebrafish Polr2d antibody is available for research use only.
Review this product on BioCompare and get a $20 Amazon gift card

Related Products

Description

DNA-directed RNA polymerase II subunit RPB4 is an enzyme that in humans is encoded by the POLR2D gene. This gene encodes the fourth largest subunit of RNA polymerase II, the polymerase responsible for synthesizing messenger RNA in eukaryotes. In yeast, this polymerase subunit is associated with the polymerase under suboptimal growth conditions and may have a stress protective role. A sequence for a ribosomal pseudogene is contained within the 3' untranslated region of the transcript from this gene.

Application Notes

Optimal dilution of the Zebrafish Polr2d antibody should be determined by the researcher.

Immunogen

E. coli-derived zebrafish Polr2d recombinant protein (amino acids A10-D127) was used as the immunogen for the Zebrafish Polr2d antibody.

Storage

After reconstitution, the Zebrafish Polr2d antibody can be stored for up to one month at 4oC. For long-term, aliquot and store at -20oC. Avoid repeated freezing and thawing.

Cross
Bulk Quote Request Form
Name*:
Organization*:
Email*:
Phone Number*:
Catalog No.*:
Comments and Specifics(amount, formulation, etc.)*:
Validation code: Captchapackage Image


Can't read the image? click here to refresh.
    *required field

Your bulk quote request has been submitted successfully!

Please contact us if you have any questions.