• Tel: 858.663.9055
  • SeparatorEmail: info@nsjbio.com
  • Tel: 858.663.9055
  • Email: info@nsjbio.com
Home >> Antibodies >> Zebrafish Pik3cb Antibody / Phosphatidylinositol-4,5-bisphosphate 3-kinase

Zebrafish Pik3cb Antibody / Phosphatidylinositol-4,5-bisphosphate 3-kinase (RZ1232)

  Catalog No Formulation Size Price (USD)  
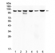
Image RZ1232 0.5mg/ml if reconstituted with 0.2ml sterile DI water 100 ug 539
Bulk quote request
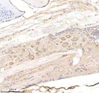
IHC staining of FFPE zebrafish spinal cord tissue with Pik3cb antibody, HRP-labeled secondary and DAB substrate. HIER: boil tissue sections in pH8 EDTA for 20 min and allow to cool before testing.
Immunofluorescent staining of Pik3cb protein using Zebrafish Pik3cb antibody (green) and DAPI nuclear stain (blue). HIER: boil tissue sections in pH8 EDTA for 20 min and allow to cool before testing.
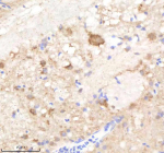
IHC staining of FFPE zebrafish brain tissue with Pik3cb antibody, HRP-labeled secondary and DAB substrate. HIER: boil tissue sections in pH8 EDTA for 20 min and allow to cool before testing.
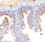
IHC staining of FFPE zebrafish colon tissue with Pik3cb antibody, HRP-labeled secondary and DAB substrate. HIER: boil tissue sections in pH8 EDTA for 20 min and allow to cool before testing.
IHC staining of FFPE zebrafish testis tissue with Pik3cb antibody, HRP-labeled secondary and DAB substrate. HIER: boil tissue sections in pH8 EDTA for 20 min and allow to cool before testing.
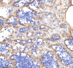
IHC staining of FFPE zebrafish kidney tissue with Pik3cb antibody, HRP-labeled secondary and DAB substrate. HIER: boil tissue sections in pH8 EDTA for 20 min and allow to cool before testing.
IHC staining of FFPE zebrafish muscle tissue with Pik3cb antibody, HRP-labeled secondary and DAB substrate. HIER: boil tissue sections in pH8 EDTA for 20 min and allow to cool before testing.
Availability 2-3 weeks
Species Reactivity Zebrafish
Format Antigen affinity purified
Clonality Polyclonal (rabbit origin)
Isotype Rabbit Ig
Purity Antigen affinity chromatography
Buffer Lyophilized from 1X PBS with 2% Trehalose
UniProt E7F251
Localization Cytoplasm
Applications Immunohistochemistry (FFPE) : 2-5ug/ml
Immunofluorescence : 5ug/ml
Limitations This Zebrafish Pik3cb antibody is available for research use only.
Review this product on BioCompare and get a $20 Amazon gift card

Related Products

Description

Predicted to enable 1-phosphatidylinositol-3-kinase activity and 1-phosphatidylinositol-4-phosphate 3-kinase activity. Predicted to be involved in cell migration; intracellular signal transduction; and phosphatidylinositol-3-phosphate biosynthetic process. Predicted to act upstream of or within phosphatidylinositol phosphate biosynthetic process and phosphorylation. Predicted to be part of phosphatidylinositol 3-kinase complex. Predicted to be active in cytoplasm and plasma membrane. Human ortholog(s) of this gene implicated in glioblastoma; prostate adenocarcinoma; prostate cancer; and type 2 diabetes mellitus. Orthologous to human PIK3CB (phosphatidylinositol-4,5-bisphosphate 3-kinase catalytic subunit beta).

Application Notes

Optimal dilution of the Zebrafish Pik3cb antibody should be determined by the researcher.

Immunogen

E. coli-derived zebrafish Pik3cb recombinant protein (amino acids E562-L611) was used as the immunogen for the Zebrafish Pik3cb antibody.

Storage

After reconstitution, the Zebrafish Pik3cb antibody can be stored for up to one month at 4oC. For long-term, aliquot and store at -20oC. Avoid repeated freezing and thawing.

Cross
Bulk Quote Request Form
Name*:
Organization*:
Email*:
Phone Number*:
Catalog No.*:
Comments and Specifics(amount, formulation, etc.)*:
Validation code: Captchapackage Image


Can't read the image? click here to refresh.
    *required field

Your bulk quote request has been submitted successfully!

Please contact us if you have any questions.