• Tel: 858.663.9055
  • SeparatorEmail: info@nsjbio.com
  • Tel: 858.663.9055
  • Email: info@nsjbio.com
Home >> Antibodies >> Zebrafish Pfn2 Antibody / Profilin 2 / Isoforms a & b

Zebrafish Pfn2 Antibody / Profilin 2 / Isoforms a & b (RZ1077)

  Catalog No Formulation Size Price (USD)  
Image RZ1077 0.5mg/ml if reconstituted with 0.2ml sterile DI water 100 ug 539
Bulk quote request
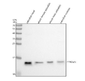
Western blot analysis of Pfn2a/b protein using Zebrafish Pfn2 antibody and 1) zebrafish head, 2) whole female zebrafish, 3) whole male zebrafish and 4) zebrafish embryo tissue lysate. Predicted molecular weight ~15 kDa.
Availability 2-3 weeks
Species Reactivity Zebrafish
Format Antigen affinity purified
Clonality Polyclonal (rabbit origin)
Isotype Rabbit Ig
Purity Antigen affinity chromatography
Buffer Lyophilized from 1X PBS with 2% Trehalose
UniProt Q6AZA1 , A0A0R4IPL1
Applications Western Blot : 0.5-1 ug/ml
Limitations This Zebrafish Pfn2 antibody is available for research use only.
Review this product on BioCompare and get a $20 Amazon gift card

Related Products

  • Applications : WB, IHC-P, FACS
    Reactivity : Human, Mouse, Rat
  • Applications : WB, IHC-P, FACS, Direct ELISA
    Reactivity : Human, Mouse, Rat

Description

Profilin-2, also called PFN2, is a protein that in humans is encoded by the PFN2 gene. The protein encoded by this gene is a ubiquitous actin monomer-binding protein belonging to the profilin family. This gene is mapped to 3q25.1. It is though to regulate actin polymerization in response to extracellular signals. There are two alternatively spliced transcript variants encoding different isoforms described for this gene. It binds to actin and affects the structure of the cytoskeleton. At high concentrations, profilin prevents the polymerization of actin, whereas it enhances it at low concentrations. By binding to PIP2, it inhibits the formation of IP3 and DG.

Application Notes

Optimal dilution of the Zebrafish Pfn2 antibody should be determined by the researcher.

Immunogen

An E.coli-derived zebrafish Pfn2a/b recombinant protein (amino acids I87-F139) was used as the immunogen for the Zebrafish Pfn2 antibody. This antibody will detect the a and b isoforms.

Storage

After reconstitution, the Zebrafish Pfn2 antibody can be stored for up to one month at 4oC. For long-term, aliquot and store at -20oC. Avoid repeated freezing and thawing.

Cross
Bulk Quote Request Form
Name*:
Organization*:
Email*:
Phone Number*:
Catalog No.*:
Comments and Specifics(amount, formulation, etc.)*:
Validation code: Captchapackage Image


Can't read the image? click here to refresh.
    *required field

Your bulk quote request has been submitted successfully!

Please contact us if you have any questions.