• Tel: 858.663.9055
  • SeparatorEmail: info@nsjbio.com
  • Tel: 858.663.9055
  • Email: info@nsjbio.com
Home >> Antibodies >> Zebrafish Mettl3 Antibody / Mt-a70

Zebrafish Mettl3 Antibody / Mt-a70 (RZ1141)

  Catalog No Formulation Size Price (USD)  
Image RZ1141 0.5mg/ml if reconstituted with 0.2ml sterile DI water 100 ug 539
Bulk quote request
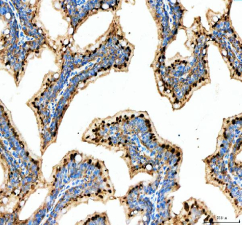
IHC staining of Mettl3 protein using Zebrafish Mettl3 antibody, HRP secondary and DAB substrate with zebrafish colon tissue lysate. HIER: boil tissue sections in pH8 EDTA for 20 min and allow to cool before testing.
Western blot analysis Mettl3 protein using Zebrafish Mettl3 antibody with zebrafish embryo tissue lysate. The predicted molecular weight of Mettl3 is ~64 kDa.
Availability 2-3 weeks
Species Reactivity Zebrafish
Format Antigen affinity purified
Clonality Polyclonal (rabbit origin)
Isotype Rabbit Ig
Purity Antigen affinity chromatography
Buffer Lyophilized from 1X PBS with 2% Trehalose
UniProt F1R777
Localization Nuclear, cytoplasmic
Applications Western Blot : 0.5-1 ug/ml
Immunohistochemistry (FFPE) : 2-5 ug/ml
Limitations This Zebrafish Mettl3 antibody is available for research use only.
Review this product on BioCompare and get a $20 Amazon gift card

Related Products

  • Applications : WB, FACS, Direct ELISA
    Reactivity : Human, Mouse, Rat
  • Applications : WB, IHC-P, FACS, IF, Direct ELISA
    Reactivity : Human, Mouse, Rat
  • Applications : WB, FACS, IHC-P, IF, Direct ELISA
    Reactivity : Human

Description

N6-adenosine-methyltransferase 70 kDa subunit (METTL3) is an enzyme that in humans is encoded by theMETTL3 gene. It is mapped to 14q11.2. This gene encodes the 70 kDa subunit of MT-A which is part of N6-adenosine-methyltransferase. This enzyme is involved in the posttranscriptional methylation of internal adenosine residues in eukaryotic mRNAs, forming N6-methyladenosine.

Application Notes

Optimal dilution of the Zebrafish Mettl3 antibody should be determined by the researcher.

Immunogen

An E.coli-derived zebrafish Mettl3 recombinant protein (amino acids D381-D575) was used as the immunogen for the Zebrafish Mettl3 antibody.

Storage

After reconstitution, the Zebrafish Mettl3 antibody can be stored for up to one month at 4oC. For long-term, aliquot and store at -20oC. Avoid repeated freezing and thawing.

Cross
Bulk Quote Request Form
Name*:
Organization*:
Email*:
Phone Number*:
Catalog No.*:
Comments and Specifics(amount, formulation, etc.)*:
Validation code: Captchapackage Image


Can't read the image? click here to refresh.
    *required field

Your bulk quote request has been submitted successfully!

Please contact us if you have any questions.