• Tel: 858.663.9055
  • SeparatorEmail: info@nsjbio.com
  • Tel: 858.663.9055
  • Email: info@nsjbio.com
Home >> Antibodies >> Zebrafish Metap2 Antibody / Methionine aminopeptidase 2 / Isoforms a & b

Zebrafish Metap2 Antibody / Methionine aminopeptidase 2 / Isoforms a & b (RZ1042)

  Catalog No Formulation Size Price (USD)  
Image RZ1042 0.5mg/ml if reconstituted with 0.2ml sterile DI water 100 ug 539
Bulk quote request
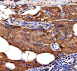
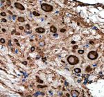
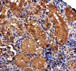
Immunohistochemical analysis of Metap2a/b protein using Zebrafish Metap2 antibody and paraffin-embedded zebrafish brain tissue. HIER: boil tissue sections in pH8 EDTA for 20 min and allow to cool before testing.
Western blot analysis of Metap2a/b protein using Zebrafish Metap2 antibody and zebrafish embryo tissue lysate. Predicted molecular weight: 50-53 kDa, but may be observed at higher molecular weights due to glycosylation.
Immunohistochemical analysis of Metap2a/b protein using Zebrafish Metap2 antibody and paraffin-embedded zebrafish spinal cord tissue. HIER: boil tissue sections in pH8 EDTA for 20 min and allow to cool before testing.
Immunohistochemical analysis of Metap2a/b protein using Zebrafish Metap2 antibody and paraffin-embedded zebrafish heart tissue. HIER: boil tissue sections in pH8 EDTA for 20 min and allow to cool before testing.
Immunohistochemical analysis of Metap2a/b protein using Zebrafish Metap2 antibody and paraffin-embedded zebrafish muscle tissue. HIER: boil tissue sections in pH8 EDTA for 20 min and allow to cool before testing.
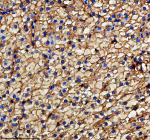
Immunohistochemical analysis of Metap2a/b protein using Zebrafish Metap2 antibody and paraffin-embedded zebrafish kidney tissue. HIER: boil tissue sections in pH8 EDTA for 20 min and allow to cool before testing.
Immunohistochemical analysis of Metap2a/b protein using Zebrafish Metap2 antibody and paraffin-embedded zebrafish liver tissue. HIER: boil tissue sections in pH8 EDTA for 20 min and allow to cool before testing.
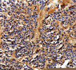
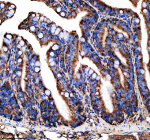
Immunohistochemical analysis of Metap2a/b protein using Zebrafish Metap2 antibody and paraffin-embedded zebrafish colon tissue. HIER: boil tissue sections in pH8 EDTA for 20 min and allow to cool before testing.
Immunohistochemical analysis of Metap2a/b protein using Zebrafish Metap2 antibody and paraffin-embedded zebrafish pancreas tissue. HIER: boil tissue sections in pH8 EDTA for 20 min and allow to cool before testing.
Availability 2-3 weeks
Species Reactivity Zebrafish
Format Antigen affinity purified
Clonality Polyclonal (rabbit origin)
Isotype Rabbit Ig
Purity Antigen affinity chromatography
Buffer Lyophilized from 1X PBS with 2% Trehalose
UniProt A5WVX8 , Q7SXK1
Localization Cytoplasm
Applications Western Blot : 0.5-1 ug/ml
Immunohistochemistry (FFPE) : 2-5 ug/ml
Limitations This Zebrafish Metap2 antibody is available for research use only.
Review this product on BioCompare and get a $20 Amazon gift card

Related Products

Description

Methionine aminopeptidase 2 is an enzyme that in humans is encoded by the METAP2 gene. The protein encoded by this gene is a member of the methionyl aminopeptidase family. The encoded protein functions both by protecting the alpha subunit of eukaryotic initiation factor 2 from inhibitory phosphorylation and by removing the amino-terminal methionine residue from nascent proteins. Increased expression of this gene is associated with various forms of cancer, and the anti-cancer drugs fumagillin and ovalicin inhibit the protein by irreversibly binding to its active site. Inhibitors of this gene have also been shown to be effective for the treatment of obesity. A pseudogene of this gene is located on chromosome 2. Several transcript variants encoding different isoforms have been found for this gene.

Application Notes

Optimal dilution of the Zebrafish Metap2 antibody should be determined by the researcher.

Immunogen

An E.coli-derived zebrafish Metap2a/b recombinant protein (amino acids E191-R464) was used as the immunogen for the Zebrafish Metap2 antibody. This antibody will detect the a and b isoforms.

Storage

After reconstitution, the Zebrafish Metap2 antibody can be stored for up to one month at 4oC. For long-term, aliquot and store at -20oC. Avoid repeated freezing and thawing.

Cross
Bulk Quote Request Form
Name*:
Organization*:
Email*:
Phone Number*:
Catalog No.*:
Comments and Specifics(amount, formulation, etc.)*:
Validation code: Captchapackage Image


Can't read the image? click here to refresh.
    *required field

Your bulk quote request has been submitted successfully!

Please contact us if you have any questions.