• Tel: 858.663.9055
  • SeparatorEmail: info@nsjbio.com
  • Tel: 858.663.9055
  • Email: info@nsjbio.com
Home >> Antibodies >> Zebrafish Mcad Antibody / Acadm

Zebrafish Mcad Antibody / Acadm (RZ1138)

  Catalog No Formulation Size Price (USD)  
Image RZ1138 0.5mg/ml if reconstituted with 0.2ml sterile DI water 100 ug 539
Bulk quote request
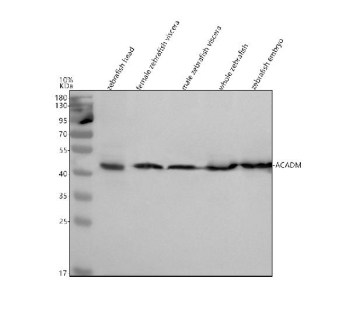
Western blot analysis of Acadm/Mcad protein using Zebrafish Mcad antibody and 1) zebrafish head, 2) female zebrafish viscera, 3) male zebrafish viscera, 4) whole zebrafish and 5) zebrafish embryo tissue lysate. Predicted molecular weight ~46 kDa.
Availability 2-3 weeks
Species Reactivity Zebrafish
Format Antigen affinity purified
Clonality Polyclonal (rabbit origin)
Isotype Rabbit Ig
Purity Antigen affinity chromatography
Buffer Lyophilized from 1X PBS with 2% Trehalose
UniProt A2CG95
Applications Western Blot : 0.5-1 ug/ml
Limitations This Zebrafish Mcad antibody is available for research use only.
Review this product on BioCompare and get a $20 Amazon gift card

Related Products

  • Applications : WB
    Reactivity : Human
    Rab Mono Image
  • Applications : WB, IHC, ELISA (peptide)
    Reactivity : Human
  • Applications : WB, IHC, ELISA (peptide)
    Reactivity : Human
  • Applications : WB, IHC, FACS, IF, ELISA
    Reactivity : Human, Mouse
    Pred. Reactivity : Primate
  • Applications : WB, IHC-P, IF, FACS, Direct ELISA
    Reactivity : Human, Mouse, Rat
  • Applications : WB
    Reactivity : Zebrafish

Description

Medium-chain acyl-CoA dehydrogenase (MCAD) is a mitochondrial enzyme that plays a central role in the β-oxidation of medium-chain fatty acids. Encoded by the acadm gene, MCAD catalyzes the initial dehydrogenation step in the metabolism of fatty acids with chain lengths of 6 to 12 carbons, producing enoyl-CoA derivatives and transferring electrons to the electron transport chain via electron transfer flavoprotein (ETF).

In zebrafish (Danio rerio), MCAD is highly conserved and functionally analogous to its mammalian counterparts, making it an ideal model for studying fatty acid metabolism and mitochondrial energy homeostasis in vertebrates. Zebrafish mcad is expressed during early development and in metabolically active tissues such as muscle, liver, and heart. Disruption of mcad function in zebrafish has been used to model human MCAD deficiency, a common inherited metabolic disorder that can lead to hypoglycemia, lethargy, and sudden infant death.

Due to its evolutionary conservation and physiological relevance, zebrafish MCAD is a valuable tool for research into metabolic diseases, mitochondrial function, and energy regulation in vivo.

Application Notes

Optimal dilution of the Zebrafish Mcad antibody should be determined by the researcher.

Immunogen

An E.coli-derived zebrafish Acadm/Mcad recombinant protein (amino acids S43-E406) was used as the immunogen for the Zebrafish Mcad antibody.

Storage

After reconstitution, the Zebrafish Mcad antibody can be stored for up to one month at 4oC. For long-term, aliquot and store at -20oC. Avoid repeated freezing and thawing.

Cross
Bulk Quote Request Form
Name*:
Organization*:
Email*:
Phone Number*:
Catalog No.*:
Comments and Specifics(amount, formulation, etc.)*:
Validation code: Captchapackage Image


Can't read the image? click here to refresh.
    *required field

Your bulk quote request has been submitted successfully!

Please contact us if you have any questions.