• Tel: 858.663.9055
  • SeparatorEmail: info@nsjbio.com
  • Tel: 858.663.9055
  • Email: info@nsjbio.com
Home >> Antibodies >> Zebrafish Lysozyme Antibody / Lyz

Zebrafish Lysozyme Antibody / Lyz (RZ1236)

  Catalog No Formulation Size Price (USD)  
Image RZ1236 0.5mg/ml if reconstituted with 0.2ml sterile DI water 100 ug 539
Bulk quote request
IHC staining of FFPE zebrafish liver tissue with Zebrafish Lysozyme antibody, HRP-labeled secondary and DAB substrate. HIER: boil tissue sections in pH8 EDTA for 20 min and allow to cool before testing.
Western blot analysis of Lysozyme protein using Zebrafish Lysozyme antibody and 1) zebrafish head, 2) whole female zebrafish, 3) whole male zebrafish and 4) zebrafish embryo tissue lysate. Predicted molecular weight ~17 kDa.
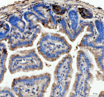
IHC staining of FFPE zebrafish kidney tissue with Zebrafish Lysozyme antibody, HRP-labeled secondary and DAB substrate. HIER: boil tissue sections in pH8 EDTA for 20 min and allow to cool before testing.
Availability 2-3 weeks
Species Reactivity Zebrafish
Format Antigen affinity purified
Clonality Polyclonal (rabbit origin)
Isotype Rabbit Ig
Purity Antigen affinity chromatography
Buffer Lyophilized from 1X PBS with 2% Trehalose
UniProt Q90YS5
Applications Western Blot : 0.5-1ug/ml
Immunohistochemistry (FFPE) : 2-5ug/ml
Limitations This Zebrafish Lysozyme antibody is available for research use only.
Review this product on BioCompare and get a $20 Amazon gift card

Related Products

Description

Lysozyme is an antimicrobial enzyme that plays a key role in the innate immune system by breaking down bacterial cell walls. In zebrafish, lysozyme is expressed in immune cells such as neutrophils and macrophages and contributes to the early defense against bacterial infections.

Lysozyme functions by cleaving the glycosidic bonds in peptidoglycan, a major structural component of bacterial cell walls, particularly in gram positive bacteria. This activity leads to bacterial lysis and supports the clearance of pathogens from the host. In zebrafish, lysozyme genes are expressed during embryogenesis and are upregulated in response to infection or immune stimulation, making them important markers of immune activation.

Zebrafish lysozyme is highly conserved with its mammalian counterparts and is commonly used in research focused on host pathogen interactions, inflammation, and immune system development. It is also a valuable tool for studying the effects of genetic mutations, environmental exposures, or pharmaceuticals on immune responses in vivo.

Because of the transparency of zebrafish embryos and the availability of immune cell specific transgenic lines, lysozyme expression can be visualized and quantified in real time during infection and inflammation models. This makes zebrafish lysozyme a widely used marker in developmental immunology and disease research.

Application Notes

Optimal dilution of the Zebrafish Lysozyme antibody should be determined by the researcher.

Immunogen

E. coli-derived zebrafish Lysozyme recombinant protein (amino acids K19-A151) was used as the immunogen for the Zebrafish Lysozyme antibody.

Storage

After reconstitution, the Zebrafish Lysozyme antibody can be stored for up to one month at 4oC. For long-term, aliquot and store at -20oC. Avoid repeated freezing and thawing.

Cross
Bulk Quote Request Form
Name*:
Organization*:
Email*:
Phone Number*:
Catalog No.*:
Comments and Specifics(amount, formulation, etc.)*:
Validation code: Captchapackage Image


Can't read the image? click here to refresh.
    *required field

Your bulk quote request has been submitted successfully!

Please contact us if you have any questions.