• Tel: 858.663.9055
  • SeparatorEmail: info@nsjbio.com
  • Tel: 858.663.9055
  • Email: info@nsjbio.com
Home >> Antibodies >> Zebrafish Lonp1 Antibody / Lon protease homolog

Zebrafish Lonp1 Antibody / Lon protease homolog (RZ1152)

  Catalog No Formulation Size Price (USD)  
Image RZ1152 0.5mg/ml if reconstituted with 0.2ml sterile DI water 100 ug 539
Bulk quote request
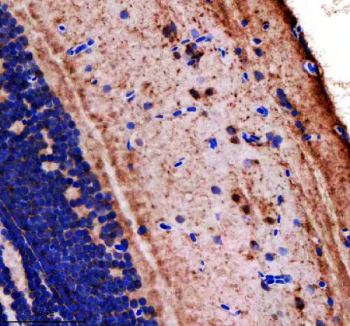
Immunohistochemical analysis of Lonp1 protein using Zebrafish Lonp1 antibody and paraffin-embedded zebrafish brain tissue. HIER: boil tissue sections in pH8 EDTA for 20 min and allow to cool before testing.
Availability 2-3 weeks
Species Reactivity Zebrafish
Format Antigen affinity purified
Clonality Polyclonal (rabbit origin)
Isotype Rabbit Ig
Purity Antigen affinity chromatography
Buffer Lyophilized from 1X PBS with 2% Trehalose
UniProt A0A0R4IH79
Localization Cytoplasm (Mitochondria)
Applications Immunohistochemistry (FFPE) : 2-5 ug/ml
Limitations This Zebrafish Lonp1 antibody is available for research use only.
Review this product on BioCompare and get a $20 Amazon gift card

Related Products

  • Applications : WB, IHC-P, IF, FACS, Direct ELISA
    Reactivity : Human, Mouse, Rat

Description

Lon protease homolog, mitochondrial is an enzyme that in humans is encoded by the LONP1 gene. It is mapped to 19p13.3. This gene encodes a mitochondrial matrix protein that belongs to the Lon family of ATP-dependent proteases. This protein mediates the selective degradation of misfolded, unassembled or oxidatively damaged polypeptides in the mitochondrial matrix. It may also have a chaperone function in the assembly of inner membrane protein complexes, and participate in the regulation of mitochondrial gene expression and maintenance of the integrity of the mitochondrial genome. Decreased expression of this gene has been noted in a patient with hereditary spastic paraplegia.

Application Notes

Optimal dilution of the Zebrafish Lonp1 antibody should be determined by the researcher.

Immunogen

An E.coli-derived zebrafish Lonp1 recombinant protein (amino acids I148-A334) was used as the immunogen for the Zebrafish Lonp1 antibody.

Storage

After reconstitution, the Zebrafish Lonp1 antibody can be stored for up to one month at 4oC. For long-term, aliquot and store at -20oC. Avoid repeated freezing and thawing.

Cross
Bulk Quote Request Form
Name*:
Organization*:
Email*:
Phone Number*:
Catalog No.*:
Comments and Specifics(amount, formulation, etc.)*:
Validation code: Captchapackage Image


Can't read the image? click here to refresh.
    *required field

Your bulk quote request has been submitted successfully!

Please contact us if you have any questions.