• Tel: 858.663.9055
  • SeparatorEmail: info@nsjbio.com
  • Tel: 858.663.9055
  • Email: info@nsjbio.com
Home >> Antibodies >> Zebrafish Kpnb1 Antibody / Importin Beta

Zebrafish Kpnb1 Antibody / Importin Beta (RZ1058)

  Catalog No Formulation Size Price (USD)  
Image RZ1058 0.5mg/ml if reconstituted with 0.2ml sterile DI water 100 ug 539
Bulk quote request
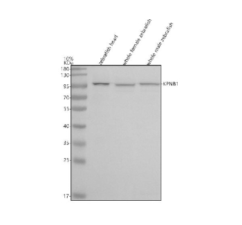
Western blot analysis of Importin Beta/Kpnb1 protein using Zebrafish Kpnb1 antibody and 1) zebrafish head, 2) whole female zebrafish and 3) whole male zebrafish tissue lysate. Predicted molecular weight ~97 kDa.
Availability 2-3 weeks
Species Reactivity Zebrafish
Format Antigen affinity purified
Clonality Polyclonal (rabbit origin)
Isotype Rabbit Ig
Purity Antigen affinity chromatography
Buffer Lyophilized from 1X PBS with 2% Trehalose
UniProt A0A0R4IMZ8
Applications Western Blot : 0.5-1 ug/ml
Limitations This Zebrafish Kpnb1 antibody is available for research use only.
Review this product on BioCompare and get a $20 Amazon gift card

Related Products

Description

Importin subunit beta-1 is a protein that in humans is encoded by the KPNB1 gene. Nucleocytoplasmic transport, a signal- and energy-dependent process, takes place through nuclear pore complexes embedded in the nuclear envelope. The import of proteins containing a nuclear localization signal (NLS) requires the NLS import receptor, a heterodimer of importin alpha and beta subunits also known as karyopherins. Importin alpha binds the NLS-containing cargo in the cytoplasm and importin beta docks the complex at the cytoplasmic side of the nuclear pore complex. In the presence of nucleoside triphosphates and the small GTP binding protein Ran, the complex moves into the nuclear pore complex and the importin subunits dissociate. Importin alpha enters the nucleoplasm with its passenger protein and importin beta remains at the pore. Interactions between importin beta and the FG repeats of nucleoporins are essential in translocation through the pore complex. The protein encoded by this gene is a member of the importin beta family. Two transcript variants encoding different isoforms have been found for this gene.

Application Notes

Optimal dilution of the Zebrafish Kpnb1 antibody should be determined by the researcher.

Immunogen

An E.coli-derived zebrafish Importin Beta/Kpnb1 recombinant protein (amino acids E8-K871) was used as the immunogen for the Zebrafish Kpnb1antibody.

Storage

After reconstitution, the Zebrafish Kpnb1 antibody can be stored for up to one month at 4oC. For long-term, aliquot and store at -20oC. Avoid repeated freezing and thawing.

Cross
Bulk Quote Request Form
Name*:
Organization*:
Email*:
Phone Number*:
Catalog No.*:
Comments and Specifics(amount, formulation, etc.)*:
Validation code: Captchapackage Image


Can't read the image? click here to refresh.
    *required field

Your bulk quote request has been submitted successfully!

Please contact us if you have any questions.