• Tel: 858.663.9055
  • SeparatorEmail: info@nsjbio.com
  • Tel: 858.663.9055
  • Email: info@nsjbio.com
Home >> Antibodies >> Zebrafish Kif3a Antibody

Zebrafish Kif3a Antibody (RZ1143)

  Catalog No Formulation Size Price (USD)  
Image RZ1143 0.5mg/ml if reconstituted with 0.2ml sterile DI water 100 ug 539
Bulk quote request
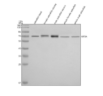
Western blot analysis of Kif3a protein using Zebrafish Kif3a antibody and 1) zebrafish head, 2) female zebrafish viscera, 3) male zebrafish viscera, 4) whole female zebrafish and 5) whole male zebrafish tissue lysate. Predicted molecular weight ~80 kDa commonly observed at 70-80 kDa.
Availability 2-3 weeks
Species Reactivity Zebrafish
Format Antigen affinity purified
Clonality Polyclonal (rabbit origin)
Isotype Rabbit Ig
Purity Antigen affinity chromatography
Buffer Lyophilized from 1X PBS with 2% Trehalose
UniProt E9QB71
Applications Western Blot : 0.5-1 ug/ml
Limitations This Zebrafish Kif3a antibody is available for research use only.
Review this product on BioCompare and get a $20 Amazon gift card

Related Products

  • Applications : WB
    Reactivity : Human, Mouse, Rat

Description

Kinesin-like protein KIF3A is a protein that in humans is encoded by the KIF3A gene. KIF3A is one subunit of the heterotrimeric motor protein, kinesin-2, that was initially isolated from sea urchin egg/embryo cytosol using microtubule affinity purification. This motor consists of two kinesin-related subunits (called KIF3A and KIF3B or 3C in vertebrates) and an associated protein (KAP3), and it transports protein complexes, nucleic acids and organelles towards the plus ends of microtubule tracks within cells. Work done in a broad range of eukaryotic cells has revealed that heterotrimeric kinesin-2 is the primary motor protein driving the intra-flagellar transport of tubulins and other axonemal building blocks from the base of the ciliary/flagellar axoneme to their site of assembly at the distal tips. This process is required for cilium assembly/maintenance and cilium-based signalling which play key roles in various cell and developmental processes. For example, in vertebrate embryos, kinesin-2 function is required for cilia-dependent nodal flow and the development of left-right asymmetry.

Application Notes

Optimal dilution of the Zebrafish Kif3a antibody should be determined by the researcher.

Immunogen

An E.coli-derived zebrafish Kif3a recombinant protein (amino acids D486-Q701) was used as the immunogen for the Zebrafish Kif3a antibody.

Storage

After reconstitution, the Zebrafish Kif3a antibody can be stored for up to one month at 4oC. For long-term, aliquot and store at -20oC. Avoid repeated freezing and thawing.

Cross
Bulk Quote Request Form
Name*:
Organization*:
Email*:
Phone Number*:
Catalog No.*:
Comments and Specifics(amount, formulation, etc.)*:
Validation code: Captchapackage Image


Can't read the image? click here to refresh.
    *required field

Your bulk quote request has been submitted successfully!

Please contact us if you have any questions.