• Tel: 858.663.9055
  • SeparatorEmail: info@nsjbio.com
  • Tel: 858.663.9055
  • Email: info@nsjbio.com
Home >> Antibodies >> Zebrafish Insulin like growth factor 1 Antibody / Igf1

Zebrafish Insulin like growth factor 1 Antibody / Igf1 (RZ1230)

  Catalog No Formulation Size Price (USD)  
Image RZ1230 0.5mg/ml if reconstituted with 0.2ml sterile DI water 100 ug 539
Bulk quote request
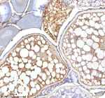
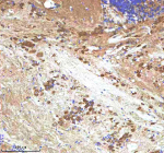
IHC staining of zebrafish Insulin like growth factor 1 protein using Zebrafish Insulin like growth factor 1 antibody, HRP-labeled secondary and DAB substrate. Insulin like growth factor 1 was detected in a paraffin-embedded section of zebrafish pancreas tissue. HIER: boil tissue sections in pH8 EDTA for 20 min and allow to cool before testing.
IHC staining of zebrafish Insulin like growth factor 1 protein using Zebrafish Insulin like growth factor 1 antibody, HRP-labeled secondary and DAB substrate. Insulin like growth factor 1 was detected in a paraffin-embedded section of zebrafish brain tissue. HIER: boil tissue sections in pH8 EDTA for 20 min and allow to cool before testing.
IHC staining of zebrafish Insulin like growth factor 1 protein using Zebrafish Insulin like growth factor 1 antibody, HRP-labeled secondary and DAB substrate. Insulin like growth factor 1 was detected in a paraffin-embedded section of zebrafish colon tissue. HIER: boil tissue sections in pH8 EDTA for 20 min and allow to cool before testing.
IHC staining of zebrafish Insulin like growth factor 1 protein using Zebrafish Insulin like growth factor 1 antibody, HRP-labeled secondary and DAB substrate. Insulin like growth factor 1 was detected in a paraffin-embedded section of zebrafish ovary tissue. HIER: boil tissue sections in pH8 EDTA for 20 min and allow to cool before testing.
IHC staining of zebrafish Insulin like growth factor 1 protein using Zebrafish Insulin like growth factor 1 antibody, HRP-labeled secondary and DAB substrate. Insulin like growth factor 1 was detected in a paraffin-embedded section of zebrafish muscle tissue. HIER: boil tissue sections in pH8 EDTA for 20 min and allow to cool before testing.
Availability 2-3 weeks
Species Reactivity Zebrafish
Format Antigen affinity purified
Clonality Polyclonal (rabbit origin)
Isotype Rabbit Ig
Purity Antigen affinity chromatography
Buffer Lyophilized from 1X PBS with 2% Trehalose
UniProt Q90VV9
Applications Immunohistochemistry (FFPE) : 2-5ug/ml
Limitations This Zebrafish Insulin like growth factor 1 antibody is available for research use only.
Review this product on BioCompare and get a $20 Amazon gift card

Description

Insulin like growth factor 1, also known as IGF1, is a peptide growth factor that plays a key role in regulating cell growth, differentiation, and survival. In zebrafish, insulin like growth factor 1 is essential for normal embryonic development, tissue regeneration, and metabolic regulation.

IGF1 is produced mainly in the liver and acts both locally and systemically through endocrine and paracrine signaling. It mediates many of the growth promoting effects of growth hormone and functions by binding to its specific receptor on the cell surface, triggering downstream signaling pathways that influence cell cycle progression, protein synthesis, and apoptosis inhibition.

In zebrafish, insulin like growth factor 1 is involved in the development of multiple organs including the brain, heart, and skeletal muscle. It also supports fin regeneration and contributes to recovery from injury by promoting cell proliferation and tissue remodeling. IGF1 expression is sensitive to nutritional status and environmental factors, making it a key biomarker for growth and metabolic studies.

Due to its strong conservation across vertebrates and its broad physiological importance, zebrafish insulin like growth factor 1 is widely used in research related to developmental biology, growth regulation, endocrine function, metabolic disease, and regenerative medicine.

Application Notes

Optimal dilution of the Zebrafish Insulin like growth factor 1 antibody should be determined by the researcher.

Immunogen

E. coli-derived zebrafish Insulin like growth factor 1 recombinant protein (amino acids G45-M161) was used as the immunogen for the Zebrafish Insulin like growth factor 1 antibody.

Storage

After reconstitution, the Zebrafish Insulin like growth factor 1 antibody can be stored for up to one month at 4oC. For long-term, aliquot and store at -20oC. Avoid repeated freezing and thawing.

Cross
Bulk Quote Request Form
Name*:
Organization*:
Email*:
Phone Number*:
Catalog No.*:
Comments and Specifics(amount, formulation, etc.)*:
Validation code: Captchapackage Image


Can't read the image? click here to refresh.
    *required field

Your bulk quote request has been submitted successfully!

Please contact us if you have any questions.