• Tel: 858.663.9055
  • SeparatorEmail: info@nsjbio.com
  • Tel: 858.663.9055
  • Email: info@nsjbio.com
Home >> Antibodies >> Zebrafish Hs2st1 Antibody / Hs2st1a / Hs2st1b

Zebrafish Hs2st1 Antibody / Hs2st1a / Hs2st1b (RZ1137)

  Catalog No Formulation Size Price (USD)  
Image RZ1137 0.5mg/ml if reconstituted with 0.2ml sterile DI water 100 ug 539
Bulk quote request
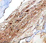
Immunohistochemical analysis of Hs2st1a/b protein using Zebrafish Hs2st1 antibody and paraffin-embedded zebrafish brain tissue. HIER: boil tissue sections in pH8 EDTA for 20 min and allow to cool before testing.
Immunohistochemical analysis of Hs2st1a/b protein using Zebrafish Hs2st1 antibody and paraffin-embedded zebrafish spinal cord tissue. HIER: boil tissue sections in pH8 EDTA for 20 min and allow to cool before testing.
Availability 2-3 weeks
Species Reactivity Zebrafish
Format Antigen affinity purified
Clonality Polyclonal (rabbit origin)
Isotype Rabbit Ig
Purity Antigen affinity chromatography
Buffer Lyophilized from 1X PBS with 2% Trehalose
UniProt A1L1P8 , F1QLG4
Localization Cytoplasm
Applications Immunohistochemistry (FFPE) : 2-5 ug/ml
Limitations This Zebrafish Hs2st1 antibody is available for research use only.
Review this product on BioCompare and get a $20 Amazon gift card

Related Products

Description

Heparan sulfate 2-O-sulfotransferase 1 is an enzyme that in humans is encoded by the HS2ST1 gene. Heparan sulfate biosynthetic enzymes are key components in generating a myriad of distinct heparan sulfate fine structures that carry out multiple biologic activities. This gene encodes a member of the heparan sulfate biosynthetic enzyme family that transfers sulfate to the 2 position of the iduronic acid residue of heparan sulfate. The disruption of this gene resulted in no kidney formation in knockout embryonic mice, indicating that the absence of this enzyme may interfere with the signaling required for kidney formation. Two alternatively spliced transcript variants that encode different proteins have been found for this gene.

Application Notes

Optimal dilution of the Zebrafish Hs2st1 antibody should be determined by the researcher.

Immunogen

An E.coli-derived zebrafish Hs2st1a/b recombinant protein (amino acids E68-N354) was used as the immunogen for the Zebrafish Hs2st1 antibody. This antibody will detect both the a and b isoforms.

Storage

After reconstitution, the Zebrafish Hs2st1 antibody can be stored for up to one month at 4oC. For long-term, aliquot and store at -20oC. Avoid repeated freezing and thawing.

Cross
Bulk Quote Request Form
Name*:
Organization*:
Email*:
Phone Number*:
Catalog No.*:
Comments and Specifics(amount, formulation, etc.)*:
Validation code: Captchapackage Image


Can't read the image? click here to refresh.
    *required field

Your bulk quote request has been submitted successfully!

Please contact us if you have any questions.