• Tel: 858.663.9055
  • SeparatorEmail: info@nsjbio.com
  • Tel: 858.663.9055
  • Email: info@nsjbio.com
Home >> Antibodies >> Zebrafish Hnrnpa1 Antibody / Isoforms a & b

Zebrafish Hnrnpa1 Antibody / Isoforms a & b (RZ1018)

  Catalog No Formulation Size Price (USD)  
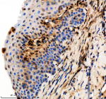
Image RZ1018 0.5mg/ml if reconstituted with 0.2ml sterile DI water 100 ug 539
Bulk quote request
Immunohistochemical analysis of Hnrnpa1a/b protein using Zebrafish Hnrnpa1 antibody and paraffin-embedded zebrafish colon tissue. HIER: boil tissue sections in pH8 EDTA for 20 min and allow to cool before testing.
Immunohistochemical analysis of Hnrnpa1a/b protein using Zebrafish Hnrnpa1 antibody and paraffin-embedded zebrafish brain tissue. HIER: boil tissue sections in pH8 EDTA for 20 min and allow to cool before testing.
Immunohistochemical analysis of Hnrnpa1a/b protein using Zebrafish Hnrnpa1 antibody and paraffin-embedded zebrafish esophagus tissue. HIER: boil tissue sections in pH8 EDTA for 20 min and allow to cool before testing.
Availability 2-3 weeks
Species Reactivity Zebrafish
Format Antigen affinity purified
Clonality Polyclonal (rabbit origin)
Isotype Rabbit Ig
Purity Antigen affinity chromatography
Buffer Lyophilized from 1X PBS with 2% Trehalose
UniProt Q7SXQ3 , Q803K3
Applications Immunohistochemistry (FFPE) : 2-5 ug/ml
Limitations This Zebrafish Hnrnpa1 antibody is available for research use only.
Review this product on BioCompare and get a $20 Amazon gift card

Related Products

Description

Heterogeneous nuclear ribonucleoprotein A1 is a protein that in humans is encoded by the HNRNPA1 gene. This gene encodes a member of a family of ubiquitously expressed heterogeneous nuclear ribonucleoproteins (hnRNPs), which are RNA-binding proteins that associate with pre-mRNAs in the nucleus and influence pre-mRNA processing, as well as other aspects of mRNA metabolism and transport. The protein encoded by this gene is one of the most abundant core proteins of hnRNP complexes and plays a key role in the regulation of alternative splicing. Mutations in this gene have been observed in individuals with amyotrophic lateral sclerosis 20. Multiple alternatively spliced transcript variants have been found. There are numerous pseudogenes of this gene distributed throughout the genome.

Application Notes

Optimal dilution of the Zebrafish Hnrnpa1 antibody should be determined by the researcher.

Immunogen

An E.coli-derived zebrafish Hnrnpa1a/b recombinant protein (amino acids E10-D43) was used as the immunogen for the Zebrafish Hnrnpa1 antibody. This antibody will detect the a and b isoforms.

Storage

After reconstitution, the Zebrafish Hnrnpa1 antibody can be stored for up to one month at 4oC. For long-term, aliquot and store at -20oC. Avoid repeated freezing and thawing.

Cross
Bulk Quote Request Form
Name*:
Organization*:
Email*:
Phone Number*:
Catalog No.*:
Comments and Specifics(amount, formulation, etc.)*:
Validation code: Captchapackage Image


Can't read the image? click here to refresh.
    *required field

Your bulk quote request has been submitted successfully!

Please contact us if you have any questions.