• Tel: 858.663.9055
  • SeparatorEmail: info@nsjbio.com
  • Tel: 858.663.9055
  • Email: info@nsjbio.com
Home >> Antibodies >> Zebrafish Hmgb2 Antibody / Hmgb2a / Hmgb2b

Zebrafish Hmgb2 Antibody / Hmgb2a / Hmgb2b (RZ1169)

  Catalog No Formulation Size Price (USD)  
Image RZ1169 0.5mg/ml if reconstituted with 0.2ml sterile DI water 100 ug 539
Bulk quote request
IHC staining of FFPE zebrafish brain tissue with Zebrafish Hmgb2 antibody, HRP secondary and DAB substrate. HIER: boil tissue sections in pH8 EDTA for 20 min and allow to cool before testing.
Western blot analysis of Hmgb2a/b protein using Zebrafish Hmgb2 antibody and 1) zebrafish head, 2) whole female zebrafish, 3) whole male zebrafish and 4) zebrafish embryo tissue lysate. Predicted molecular weight ~24 kDa.
IHC staining of FFPE zebrafish esophagus tissue with Zebrafish Hmgb2 antibody, HRP secondary and DAB substrate. HIER: boil tissue sections in pH8 EDTA for 20 min and allow to cool before testing.
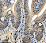
IHC staining of FFPE zebrafish colon tissue with Zebrafish Hmgb2 antibody, HRP secondary and DAB substrate. HIER: boil tissue sections in pH8 EDTA for 20 min and allow to cool before testing.
IHC staining of FFPE zebrafish muscle tissue with Zebrafish Hmgb2 antibody, HRP secondary and DAB substrate. HIER: boil tissue sections in pH8 EDTA for 20 min and allow to cool before testing.
Availability 2-3 weeks
Species Reactivity Zebrafish
Format Antigen affinity purified
Clonality Polyclonal (rabbit origin)
Isotype Rabbit Ig
Purity Antigen affinity chromatography
Buffer Lyophilized from 1X PBS with 2% Trehalose
UniProt Q32PT3
Localization Nuclear, cytoplasmic
Applications Western Blot : 0.5-1 ug/ml
Immunohistochemistry (FFPE) : 2-5 ug/ml
Limitations This Zebrafish Hmgb2 antibody is available for research use only.
Review this product on BioCompare and get a $20 Amazon gift card

Related Products

  • Applications : WB, ELISA
    Reactivity : Human
    Pred. Reactivity : Rat, Bovine, Pig
  • Applications : WB, IHC-P, IF/ICC, FACS
    Reactivity : Human, Mouse, Rat

Description

High-mobility group protein B2, also known as high-mobility group protein 2 (HMG-2), is a protein that in humans is encoded by the HMGB2 gene. This gene encodes a member of the non-histone chromosomal high mobility group protein family. The proteins of this family are chromatin-associated and ubiquitously distributed in the nucleus of higher eukaryotic cells. In vitro studies have demonstrated that this protein is able to efficiently bend DNA and form DNA circles. These studies suggest a role in facilitating cooperative interactions between cis-acting proteins by promoting DNA flexibility. This protein was also reported to be involved in the final ligation step in DNA end-joining processes of DNA double-strand breaks repair and V(D)J recombination.

Application Notes

Optimal dilution of the Zebrafish Hmgb2 antibody should be determined by the researcher.

Immunogen

An E.coli-derived zebrafish Hmgb2a/b recombinant protein (amino acids K64-R97) was used as the immunogen for the Zebrafish Hmgb2 antibody. This antibody will detect the a and b isoforms.

Storage

After reconstitution, the Zebrafish Hmgb2 antibody can be stored for up to one month at 4oC. For long-term, aliquot and store at -20oC. Avoid repeated freezing and thawing.

Cross
Bulk Quote Request Form
Name*:
Organization*:
Email*:
Phone Number*:
Catalog No.*:
Comments and Specifics(amount, formulation, etc.)*:
Validation code: Captchapackage Image


Can't read the image? click here to refresh.
    *required field

Your bulk quote request has been submitted successfully!

Please contact us if you have any questions.