- Tel: 858.663.9055
- 
									 Email: info@nsjbio.com Email: info@nsjbio.com
- Tel: 858.663.9055
- Email: info@nsjbio.com
 Email: info@nsjbio.com
Email: info@nsjbio.com
								Related Products
| 
 | 
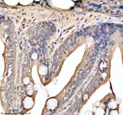
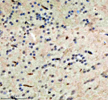
Histone deacetylase 1 is an enzyme that is encoded by the HDAC1 gene. Histone acetylation and deacetylation, catalyzed by multi-subunit complexes, play a key role in the regulation of eukaryotic gene expression. The protein encoded by this gene belongs to the histone deacetylase/acuc/apha family and is a component of the histone deacetylase complex. It also interacts with retinoblastoma tumor-suppressor protein and this complex is a key element in the control of cell proliferation and differentiation. Together with metastasis-associated protein-2, it deacetylates p53 and modulates its effect on cell growth and apoptosis. Furukawa et al.(1996) mapped RPD3L1 to 1p34.1 by fluorescence in situ hybridization.
Optimal dilution of the Zebrafish Hdac1 antibody should be determined by the researcher.
A synthetic peptide corresponding to a sequence in the middle region of zebrafish Hdac1 was used as the immunogen for the Zebrafish Hdac1 antibody.
After reconstitution, the Zebrafish Hdac1 antibody can be stored for up to one month at 4oC. For long-term, aliquot and store at -20oC. Avoid repeated freezing and thawing.
 
Your bulk quote request has been submitted successfully!
Please contact us if you have any questions.