• Tel: 858.663.9055
  • SeparatorEmail: info@nsjbio.com
  • Tel: 858.663.9055
  • Email: info@nsjbio.com
Home >> Antibodies >> Zebrafish Hbae1.1 Antibody / Hemoglobin alpha embryonic 1.1

Zebrafish Hbae1.1 Antibody / Hemoglobin alpha embryonic 1.1 (RZ1228)

  Catalog No Formulation Size Price (USD)  
Image RZ1228 0.5mg/ml if reconstituted with 0.2ml sterile DI water 100 ug 539
Bulk quote request
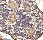
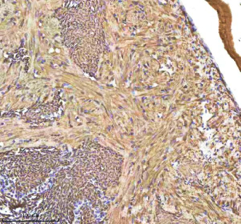
IHC staining of FFPE zebrafish heart tissue with Hbae1.1 antibody, HRP-labeled secondary and DAB substrate. HIER: boil tissue sections in pH8 EDTA for 20 min and allow to cool before testing.
Western blot analysis of Hbae1.1 protein using Zebrafish Hbae1.1 antibody and 1) zebrafish head, 2) whole female zebrafish, 3) whole male zebrafish and 4) zebrafish embryo tissue lysate. Predicted molecular weight ~16 kDa.
IHC staining of FFPE zebrafish kidney tissue with Hbae1.1 antibody, HRP-labeled secondary and DAB substrate. HIER: boil tissue sections in pH8 EDTA for 20 min and allow to cool before testing.
Availability 2-3 weeks
Species Reactivity Zebrafish
Format Antigen affinity purified
Clonality Polyclonal (rabbit origin)
Isotype Rabbit Ig
Purity Antigen affinity chromatography
Buffer Lyophilized from 1X PBS with 2% Trehalose
UniProt Q7ZT21
Localization Cytoplasm
Applications Western Blot : 0.5-1ug/ml
Immunohistochemistry (FFPE) : 2-5ug/ml
Limitations This Zebrafish Hbae1.1 antibody is available for research use only.
Review this product on BioCompare and get a $20 Amazon gift card

Description

Hbae1.1, or hemoglobin alpha embryonic 1.1, is a subunit of embryonic hemoglobin expressed during the early stages of zebrafish development. Hemoglobins are iron binding proteins responsible for oxygen transport in the blood, and in zebrafish, different hemoglobin genes are activated in a stage specific manner to meet the oxygen needs of the developing embryo.

Hbae1.1 is expressed primarily in the intermediate cell mass, which is the site of primitive erythropoiesis in zebrafish embryos. It forms part of the embryonic hemoglobin complex that enables efficient oxygen delivery during rapid cell growth and organ formation. As development progresses, Hbae1.1 expression decreases while adult forms of hemoglobin become dominant.

Due to its specific and transient expression pattern, Hbae1.1 is widely used as a molecular marker for primitive erythroid cells and early blood development in zebrafish. It provides a valuable readout for studying hematopoiesis, gene regulation during red blood cell formation, and the effects of genetic mutations or chemical exposures on early blood cell differentiation.

Zebrafish Hbae1.1 is an important tool in developmental biology, hematology, toxicology, and genetic screening for blood related disorders.

Application Notes

Optimal dilution of the Zebrafish Hbae1.1 antibody should be determined by the researcher.

Immunogen

E. coli-derived zebrafish Hbae1.1 recombinant protein (amino acids M1-R143) was used as the immunogen for the Zebrafish Hbae1.1 antibody.

Storage

After reconstitution, the Zebrafish Hbae1.1 antibody can be stored for up to one month at 4oC. For long-term, aliquot and store at -20oC. Avoid repeated freezing and thawing.

Cross
Bulk Quote Request Form
Name*:
Organization*:
Email*:
Phone Number*:
Catalog No.*:
Comments and Specifics(amount, formulation, etc.)*:
Validation code: Captchapackage Image


Can't read the image? click here to refresh.
    *required field

Your bulk quote request has been submitted successfully!

Please contact us if you have any questions.