• Tel: 858.663.9055
  • SeparatorEmail: info@nsjbio.com
  • Tel: 858.663.9055
  • Email: info@nsjbio.com
Home >> Antibodies >> Zebrafish Gmps Antibody / GMP synthase

Zebrafish Gmps Antibody / GMP synthase (RZ1167)

  Catalog No Formulation Size Price (USD)  
Image RZ1167 0.5mg/ml if reconstituted with 0.2ml sterile DI water 100 ug 539
Bulk quote request
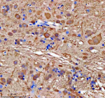
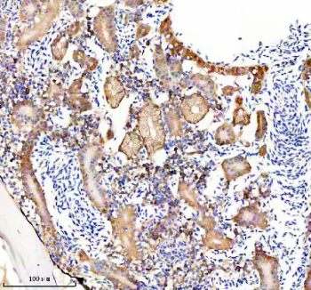
Immunohistochemical analysis of Gmps protein using Zebrafish Gmps antibody and paraffin-embedded zebrafish kidney tissue. HIER: boil tissue sections in pH8 EDTA for 20 min and allow to cool before testing.
Immunohistochemical analysis of Gmps protein using Zebrafish Gmps antibody and a paraffin-embedded zebrafish brain tissue. HIER: boil tissue sections in pH8 EDTA for 20 min and allow to cool before testing.
Immunohistochemical analysis of Gmps protein using Zebrafish Gmps antibody and paraffin-embedded zebrafish testis tissue. HIER: boil tissue sections in pH8 EDTA for 20 min and allow to cool before testing.
Availability 2-3 weeks
Species Reactivity Zebrafish
Format Antigen affinity purified
Clonality Polyclonal (rabbit origin)
Isotype Rabbit Ig
Purity Antigen affinity chromatography
Buffer Lyophilized from 1X PBS with 2% Trehalose
UniProt B8JLW8
Localization Cytoplasm
Applications Immunohistochemistry (FFPE) : 2-5 ug/ml
Limitations This Zebrafish Gmps antibody is available for research use only.
Review this product on BioCompare and get a $20 Amazon gift card

Related Products

  • Applications : WB, FACS, Direct ELISA
    Reactivity : Human, Mouse, Rat

Description

Guanosine monophosphate synthetase, also known as GMPS is an enzyme that converts xanthosine monophosphate to guanosine monophosphate. In the de novo synthesis of purine nucleotides, IMP is the branch point metabolite at which point the pathway diverges to the synthesis of either guanine or adenine nucleotides. In the guanine nucleotide pathway, there are 2 enzymes involved in converting IMP to GMP, namely IMP dehydrogenase (IMPD1), which catalyzes the oxidation of IMP to XMP, and GMP synthetase, which catalyzes the amination of XMP to GMP.

Application Notes

Optimal dilution of the Zebrafish Gmps antibody should be determined by the researcher.

Immunogen

An E.coli-derived zebrafish Gmps recombinant protein (amino acids L20-K670) was used as the immunogen for the Zebrafish Gmps antibody.

Storage

After reconstitution, the Zebrafish Gmps antibody can be stored for up to one month at 4oC. For long-term, aliquot and store at -20oC. Avoid repeated freezing and thawing.

Cross
Bulk Quote Request Form
Name*:
Organization*:
Email*:
Phone Number*:
Catalog No.*:
Comments and Specifics(amount, formulation, etc.)*:
Validation code: Captchapackage Image


Can't read the image? click here to refresh.
    *required field

Your bulk quote request has been submitted successfully!

Please contact us if you have any questions.