• Tel: 858.663.9055
  • SeparatorEmail: info@nsjbio.com
  • Tel: 858.663.9055
  • Email: info@nsjbio.com
Home >> Antibodies >> Zebrafish Gephyrin Antibody / Gphna / Gphnb

Zebrafish Gephyrin Antibody / Gphna / Gphnb (RZ1100)

  Catalog No Formulation Size Price (USD)  
Image RZ1100 0.5mg/ml if reconstituted with 0.2ml sterile DI water 100 ug 539
Bulk quote request
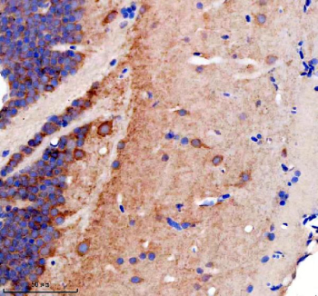
Immunohistochemical analysis of GPHNa/b protein using Zebrafish Gephyrin antibody and paraffin-embedded zebrafish brain tissue. HIER: boil tissue sections in pH8 EDTA for 20 min and allow to cool before testing.
Western blot analysis of GPHNa/b protein using Zebrafish Gephyrin antibody and zebrafish head tissue lysate. The predicted molecular weight of GPHNa/b is ~80 kDa, commonly observed at ~93 kDa.
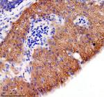
Immunohistochemical analysis of GPHNa/b protein using Zebrafish Gephyrin antibody and paraffin-embedded zebrafish pancreas tissue. HIER: boil tissue sections in pH8 EDTA for 20 min and allow to cool before testing.
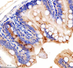
Immunohistochemical analysis of GPHNa/b protein using Zebrafish Gephyrin antibody and paraffin-embedded zebrafish colon tissue. HIER: boil tissue sections in pH8 EDTA for 20 min and allow to cool before testing.
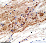
Immunohistochemical analysis of GPHNa/b protein using Zebrafish Gephyrin antibody and paraffin-embedded zebrafish spinal cord tissue. HIER: boil tissue sections in pH8 EDTA for 20 min and allow to cool before testing.
Availability 2-3 weeks
Species Reactivity Zebrafish
Format Antigen affinity purified
Clonality Polyclonal (rabbit origin)
Isotype Rabbit Ig
Purity Antigen affinity chromatography
Buffer Lyophilized from 1X PBS with 2% Trehalose
UniProt D3KYK7
Applications Western Blot : 0.5-1 ug/ml
Immunohistochemistry (FFPE) : 2-5 ug/ml
Limitations This Zebrafish Gephyrin antibody is available for research use only.
Review this product on BioCompare and get a $20 Amazon gift card

Related Products

  • Applications : WB, IHC-P, IF, Direct ELISA
    Reactivity : Human, Mouse, Rat, Monkey

Description

Gephyrin is a protein that in humans is encoded by the GPHN gene. This gene encodes a neuronal assembly protein that anchors inhibitory neurotransmitter receptors to the postsynaptic cytoskeleton via high affinity binding to a receptor subunit domain and tubulin dimers. In nonneuronal tissues, the encoded protein is also required for molybdenum cofactor biosynthesis. Mutations in this gene may be associated with the neurological condition hyperplexia and also lead to molybdenum cofactor deficiency. Numerous alternatively spliced transcript variants encoding different isoforms have been described; however, the full-length nature of all transcript variants is not currently known.

Application Notes

Optimal dilution of the Zebrafish Gephyrin antibody should be determined by the researcher.

Immunogen

An E.coli-derived zebrafish GPHNa/b recombinant protein (amino acids V288-L735) was used as the immunogen for the Zebrafish Gephyrin antibody.

Storage

After reconstitution, the Zebrafish Gephyrin antibody can be stored for up to one month at 4oC. For long-term, aliquot and store at -20oC. Avoid repeated freezing and thawing.

Cross
Bulk Quote Request Form
Name*:
Organization*:
Email*:
Phone Number*:
Catalog No.*:
Comments and Specifics(amount, formulation, etc.)*:
Validation code: Captchapackage Image


Can't read the image? click here to refresh.
    *required field

Your bulk quote request has been submitted successfully!

Please contact us if you have any questions.