• Tel: 858.663.9055
  • SeparatorEmail: info@nsjbio.com
  • Tel: 858.663.9055
  • Email: info@nsjbio.com
Home >> Antibodies >> Zebrafish Gata4 Antibody / GATA-binding factor 4

Zebrafish Gata4 Antibody / GATA-binding factor 4 (RZ1186)

  Catalog No Formulation Size Price (USD)  
Image RZ1186 0.5mg/ml if reconstituted with 0.2ml sterile DI water 100 ug 539
Bulk quote request
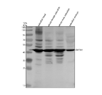
Western blot analysis of Gata4 protein using Zebrafish Gata4 antibody and 1) zebrafish head, 2) whole female zebrafish, 3) whole male zebrafish and 4) zebrafish embryo tissue lysate. Predicted molecular weight ~38 kDa.
Availability 2-3 weeks
Species Reactivity Zebrafish
Format Antigen affinity purified
Clonality Polyclonal (rabbit origin)
Isotype Rabbit Ig
Purity Antigen affinity chromatography
Buffer Lyophilized from 1X PBS with 2% Trehalose
UniProt Q09JY7
Applications Western Blot : 0.5-1ug/ml
Limitations This Zebrafish Gata4 antibody is available for research use only.
Review this product on BioCompare and get a $20 Amazon gift card

Related Products

Description

GATA-binding factor 4 (Gata4) is a zinc finger transcription factor belonging to the GATA family, which regulates gene expression during embryonic development and cell differentiation. In zebrafish (Danio rerio), Gata4 plays a critical role in the development of the heart, endoderm, and gastrointestinal tract, mirroring its conserved function in vertebrate organogenesis.

Gata4 is expressed early during zebrafish embryogenesis, particularly in the cardiac mesoderm and endodermal precursors. It functions as a key regulator of cardiomyocyte differentiation, heart tube formation, and gut development. Gata4 also interacts with other transcription factors such as Nkx2.5 and Tbx5 to coordinate cardiac gene expression programs.

Due to its essential role in heart development and its evolutionary conservation, zebrafish Gata4 is widely studied in models of congenital heart disease, organ specification, and regenerative biology. It serves as a valuable molecular marker and research target for developmental biology, gene regulation, and disease modeling.

Application Notes

Optimal dilution of the Zebrafish Gata4 antibody should be determined by the researcher.

Immunogen

E. coli-derived zebrafish Gata4 recombinant protein (amino acids M1-M332) was used as the immunogen for the Zebrafish Gata4 antibody.

Storage

After reconstitution, the Zebrafish Gata4 antibody can be stored for up to one month at 4oC. For long-term, aliquot and store at -20oC. Avoid repeated freezing and thawing.

Cross
Bulk Quote Request Form
Name*:
Organization*:
Email*:
Phone Number*:
Catalog No.*:
Comments and Specifics(amount, formulation, etc.)*:
Validation code: Captchapackage Image


Can't read the image? click here to refresh.
    *required field

Your bulk quote request has been submitted successfully!

Please contact us if you have any questions.