• Tel: 858.663.9055
  • SeparatorEmail: info@nsjbio.com
  • Tel: 858.663.9055
  • Email: info@nsjbio.com
Home >> Antibodies >> Zebrafish Flt1 Antibody / Vegfr1 / Vegf receptor 1

Zebrafish Flt1 Antibody / Vegfr1 / Vegf receptor 1 (RZ1183)

  Catalog No Formulation Size Price (USD)  
Image RZ1183 0.5mg/ml if reconstituted with 0.2ml sterile DI water 100 ug 539
Bulk quote request
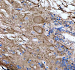
IHC staining of zebrafish Flt1 protein using Zebrafish Flt1 antibody, HRP-labeled secondary and DAB substrate. Flt1 was detected in a paraffin-embedded section of zebrafish kidney tissue. HIER: boil tissue sections in pH8 EDTA for 20 min and allow to cool before testing.
Western blot analysis of Flt1 protein using Zebrafish Flt1 antibody and whole male zebrafish tissue lysates. Predicted molecular weight ~142 kDa.
IHC staining of zebrafish Flt1 protein using Zebrafish Flt1 antibody, HRP-labeled secondary and DAB substrate. Flt1 was detected in a paraffin-embedded section of zebrafish testis tissue. HIER: boil tissue sections in pH8 EDTA for 20 min and allow to cool before testing.
IHC staining of zebrafish Flt1 protein using Zebrafish Flt1 antibody, HRP-labeled secondary and DAB substrate. Flt1 was detected in a paraffin-embedded section of zebrafish brain tissue. HIER: boil tissue sections in pH8 EDTA for 20 min and allow to cool before testing.
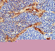
IHC staining of zebrafish Flt1 protein using Zebrafish Flt1 antibody, HRP-labeled secondary and DAB substrate. Flt1 was detected in a paraffin-embedded section of zebrafish spinal cord tissue. HIER: boil tissue sections in pH8 EDTA for 20 min and allow to cool before testing.
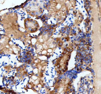
IHC staining of zebrafish Flt1 protein using Zebrafish Flt1 antibody, HRP-labeled secondary and DAB substrate. Flt1 was detected in a paraffin-embedded section of zebrafish colon tissue. HIER: boil tissue sections in pH8 EDTA for 20 min and allow to cool before testing.
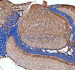
IHC staining of zebrafish Flt1 protein using Zebrafish Flt1 antibody, HRP-labeled secondary and DAB substrate. Flt1 was detected in a paraffin-embedded section of zebrafish heart tissue. HIER: boil tissue sections in pH8 EDTA for 20 min and allow to cool before testing.
Availability 2-3 weeks
Species Reactivity Zebrafish
Format Antigen affinity purified
Clonality Polyclonal (rabbit origin)
Isotype Rabbit Ig
Purity Antigen affinity chromatography
Buffer Lyophilized from 1X PBS with 2% Trehalose
UniProt B3DKP1
Applications Western Blot : 0.5-1ug/ml
Immunohistochemistry (FFPE) : 2-5ug/ml
Limitations This Zebrafish Flt1 antibody is available for research use only.
Review this product on BioCompare and get a $20 Amazon gift card

Related Products

Description

Fms-related tyrosine kinase 1 (Flt1), also known as vascular endothelial growth factor receptor 1 (VEGFR-1), is a high-affinity receptor for members of the vascular endothelial growth factor (VEGF) family. In zebrafish (Danio rerio), the flt1 gene encodes a transmembrane receptor tyrosine kinase that plays a critical role in vascular development and angiogenesis.

Zebrafish Flt1 is expressed in endothelial cells and is involved in the regulation of blood vessel formation by modulating VEGF signaling. Unlike its counterpart Kdrl (zebrafish VEGFR-2), which promotes angiogenic signaling, Flt1 primarily functions as a decoy receptor that binds VEGF-A and VEGF-B with high affinity, thereby fine-tuning angiogenic responses during embryogenesis. Zebrafish also express a soluble form of Flt1 (sFlt1), which lacks the intracellular kinase domain and acts as a natural inhibitor of VEGF signaling.

Expression of flt1 in zebrafish is detected early during embryonic development, particularly in developing vasculature such as the dorsal aorta, cardinal vein, and intersegmental vessels. Disruption of flt1 leads to aberrant vessel patterning and excessive endothelial sprouting, highlighting its essential regulatory function in vascular morphogenesis.

Due to the optical transparency of zebrafish embryos and the availability of vascular reporter lines, zebrafish Flt1 serves as a powerful model for studying angiogenesis, vascular remodeling, and the mechanisms of VEGF signaling in vivo. It is also a valuable tool for investigating vascular defects, cancer biology, and responses to anti-angiogenic therapies.

Application Notes

Optimal dilution of the Zebrafish Flt1 antibody should be determined by the researcher.

Immunogen

E. coli-derived zebrafish Flt1 recombinant protein (amino acids L32-K1229) was used as the immunogen for the Zebrafish Flt1 antibody.

Storage

After reconstitution, the Zebrafish Flt1 antibody can be stored for up to one month at 4oC. For long-term, aliquot and store at -20oC. Avoid repeated freezing and thawing.

Cross
Bulk Quote Request Form
Name*:
Organization*:
Email*:
Phone Number*:
Catalog No.*:
Comments and Specifics(amount, formulation, etc.)*:
Validation code: Captchapackage Image


Can't read the image? click here to refresh.
    *required field

Your bulk quote request has been submitted successfully!

Please contact us if you have any questions.