• Tel: 858.663.9055
  • SeparatorEmail: info@nsjbio.com
  • Tel: 858.663.9055
  • Email: info@nsjbio.com
Home >> Antibodies >> Zebrafish Flotillin Antibody / Flot1a

Zebrafish Flotillin Antibody / Flot1a (RZ1081)

  Catalog No Formulation Size Price (USD)  
Image RZ1081 0.5mg/ml if reconstituted with 0.2ml sterile DI water 100 ug 539
Bulk quote request
IHC staining of FFPE zebrafish brain tissue with Zebrafish Flotillin antibody, HRP secondary and DAB substrate. HIER: boil tissue sections in pH8 EDTA for 20 min and allow to cool before testing.
Western blot analysis of Flotillin/FLOT1a protein using Zebrafish Flotillin antibody and 1) zebrafish head, 2) whole female zebrafish, 3) whole male zebrafish and 4) zebrafish embryo tissue lysate. Predicted molecular weight ~47 kDa.
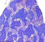
IHC staining of FFPE zebrafish testis tissue with Zebrafish Flotillin antibody, HRP secondary and DAB substrate. HIER: boil tissue sections in pH8 EDTA for 20 min and allow to cool before testing.
Availability 2-3 weeks
Species Reactivity Zebrafish
Format Antigen affinity purified
Clonality Polyclonal (rabbit origin)
Isotype Rabbit Ig
Purity Antigen affinity chromatography
Buffer Lyophilized from 1X PBS with 2% Trehalose
UniProt F1QEW4
Applications Western Blot : 0.5-1 ug/ml
Immunohistochemistry (FFPE) : 2-5 ug/ml
Limitations This Zebrafish Flotillin antibody is available for research use only.
Review this product on BioCompare and get a $20 Amazon gift card

Related Products

Description

FLOT1 (Flotillin 1), is a protein that in humans is encoded by the FLOT1 gene. The International Radiation Hybrid Mapping Consortium mapped the FLOT1 gene to chromosome 6. Bickel et al.(1997) found that mouse Flot1 behaves as a resident integral membrane protein of caveolae. It consistently copurified with Flot2 and with caveolin-1 in the purification of caveolin-rich membranes. Hazarika et al.(1999) found that stable transfection of Flot1, which they called ESA/flotillin-2, in COS-1 cells induced filopodia formation and changed the epithelial morphology to that of neuronal cells. Santamaria et al.(2005) found that prostate tumor overexpressed gene-1 interacted with flotillin-1 in detergent-insoluble membrane fractions. Flotillin-1 colocalized with PTOV1 at the plasma membrane and in the nucleus, and it entered the nucleus concomitant with PTOV1 shortly before initiation of S phase.

Application Notes

Optimal dilution of the Zebrafish Flotillin antibody should be determined by the researcher.

Immunogen

An E.coli-derived zebrafish Flotillin/FLOT1a recombinant protein (amino acids E95-L411) was used as the immunogen for the Zebrafish Flotillin antibody.

Storage

After reconstitution, the Zebrafish Flotillin antibody can be stored for up to one month at 4oC. For long-term, aliquot and store at -20oC. Avoid repeated freezing and thawing.

Cross
Bulk Quote Request Form
Name*:
Organization*:
Email*:
Phone Number*:
Catalog No.*:
Comments and Specifics(amount, formulation, etc.)*:
Validation code: Captchapackage Image


Can't read the image? click here to refresh.
    *required field

Your bulk quote request has been submitted successfully!

Please contact us if you have any questions.