• Tel: 858.663.9055
  • SeparatorEmail: info@nsjbio.com
  • Tel: 858.663.9055
  • Email: info@nsjbio.com
Home >> Antibodies >> Zebrafish Fhl2 Antibody / Fhl2a / Fhl2b

Zebrafish Fhl2 Antibody / Fhl2a / Fhl2b (RZ1133)

  Catalog No Formulation Size Price (USD)  
Image RZ1133 0.5mg/ml if reconstituted with 0.2ml sterile DI water 100 ug 539
Bulk quote request
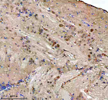
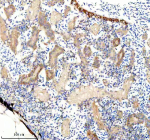
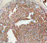
Immunohistochemical analysis of FHL2a/b protein using Zebrafish Fhl2 antibody, HRP secondary and DAB substrate with paraffin-embedded zebrafish brain tissue. HIER: boil tissue sections in pH8 EDTA for 20 min and allow to cool before testing.
Immunohistochemical analysis of FHL2a/b protein using Zebrafish Fhl2 antibody, HRP secondary and DAB substrate with paraffin-embedded zebrafish kidney tissue. HIER: boil tissue sections in pH8 EDTA for 20 min and allow to cool before testing.
Immunohistochemical analysis of FHL2a/b protein using Zebrafish Fhl2 antibody, HRP secondary and DAB substrate with paraffin-embedded zebrafish colon tissue. HIER: boil tissue sections in pH8 EDTA for 20 min and allow to cool before testing.
Immunohistochemical analysis of FHL2a/b protein using Zebrafish Fhl2 antibody, HRP secondary and DAB substrate with paraffin-embedded zebrafish heart tissue. HIER: boil tissue sections in pH8 EDTA for 20 min and allow to cool before testing.
Immunofluorescent staining of FFPE zebrafish embryo tissue with Zebrafish Fhl2 antibody (green). HIER: steam section in pH8 EDTA buffer for 20 min.
Immunofluorescent staining of FFPE zebrafish embryo tissue with Zebrafish Fhl2 antibody (green). HIER: steam section in pH8 EDTA buffer for 20 min.
Immunofluorescent staining of FFPE zebrafish embryo tissue with Zebrafish Fhl2 antibody (green). HIER: steam section in pH8 EDTA buffer for 20 min.
Availability 2-3 weeks
Species Reactivity Zebrafish
Format Antigen affinity purified
Clonality Polyclonal (rabbit origin)
Isotype Rabbit Ig
Purity Antigen affinity chromatography
Buffer Lyophilized from 1X PBS with 2% Trehalose
UniProt Q6AZB7
Localization Cytoplasmic, Nuclear
Applications Immunohistochemistry (FFPE) : 2-5 ug/ml
Immunofluorescence : 5 ug/ml
Limitations This Zebrafish Fhl2 antibody is available for research use only.
Review this product on BioCompare and get a $20 Amazon gift card

Related Products

  • Applications : WB, ELISA (peptide)
    Reactivity : Human, Mouse
    Pred. Reactivity : Cow, Dog, Rat

Description

Four and a half LIM domains protein 2, also known as FHL-2, is a protein that in humans is encoded by the FHL2 gene. This gene encodes a member of the four-and-a-half-LIM-only protein family. Family members contain two highly conserved, tandemly arranged, zinc finger domains with four highly conserved cysteines binding a zinc atom in each zinc finger. This protein is thought to have a role in the assembly of extracellular membranes. Also, this gene is down-regulated during transformation of normal myoblasts to rhabdomyosarcoma cells and the encoded protein may function as a link between presenilin-2 and an intracellular signaling pathway. Multiple alternatively spliced variants encoding different isoforms have been identified.

Application Notes

Optimal dilution of the Zebrafish Fhl2 antibody should be determined by the researcher.

Immunogen

An E.coli-derived zebrafish Fhl2 recombinant protein (amino acids K235-I279) was used as the immunogen for the Zebrafish Fhl2 antibody. This antibody will detect the a and b isoforms.

Storage

After reconstitution, the Zebrafish Fhl2 antibody can be stored for up to one month at 4oC. For long-term, aliquot and store at -20oC. Avoid repeated freezing and thawing.

Cross
Bulk Quote Request Form
Name*:
Organization*:
Email*:
Phone Number*:
Catalog No.*:
Comments and Specifics(amount, formulation, etc.)*:
Validation code: Captchapackage Image


Can't read the image? click here to refresh.
    *required field

Your bulk quote request has been submitted successfully!

Please contact us if you have any questions.