• Tel: 858.663.9055
  • SeparatorEmail: info@nsjbio.com
  • Tel: 858.663.9055
  • Email: info@nsjbio.com
Home >> Antibodies >> Zebrafish Fasn Antibody / Fatty acid synthase / Fas

Zebrafish Fasn Antibody / Fatty acid synthase / Fas (RZ1223)

  Catalog No Formulation Size Price (USD)  
Image RZ1223 0.5mg/ml if reconstituted with 0.2ml sterile DI water 100 ug 539
Bulk quote request
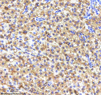
IHC staining of FFPE zebrafish liver tissue with Fasn antibody, HRP-labeled secondary and DAB substrate. HIER: boil tissue sections in pH8 EDTA for 20 min and allow to cool before testing.
Western blot analysis of Fasn protein using Zebrafish Fasn antibody and 1) zebrafish head, 2) whole female zebrafish, 3) whole male zebrafish and 4) zebrafish embryo tissue lysate. Predicted molecular weight ~274 kDa.
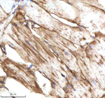
IHC staining of FFPE zebrafish muscle tissue with Fasn antibody, HRP-labeled secondary and DAB substrate. HIER: boil tissue sections in pH8 EDTA for 20 min and allow to cool before testing.
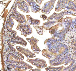
IHC staining of FFPE zebrafish colon tissue with Fasn antibody, HRP-labeled secondary and DAB substrate. HIER: boil tissue sections in pH8 EDTA for 20 min and allow to cool before testing.
Availability 2-3 weeks
Species Reactivity Zebrafish
Format Antigen affinity purified
Clonality Polyclonal (rabbit origin)
Isotype Rabbit Ig
Purity Antigen affinity chromatography
Buffer Lyophilized from 1X PBS with 2% Trehalose
UniProt E7F5V3
Localization Cytoplasm
Applications Western Blot : 0.5-1ug/ml
Immunohistochemistry (FFPE) : 2-5ug/ml
Limitations This Zebrafish Fasn antibody is available for research use only.
Review this product on BioCompare and get a $20 Amazon gift card

Related Products

Description

Fatty acid synthase, also called Fas and Fasn, is a large multi enzyme protein complex that catalyzes the synthesis of long chain saturated fatty acids from acetyl coenzyme A and malonyl coenzyme A in the presence of nicotinamide adenine dinucleotide phosphate. In zebrafish, fatty acid synthase is essential for lipid metabolism and plays a central role in energy storage, membrane formation, and signaling pathways during development and growth.

Fatty acid synthase is highly expressed in metabolically active tissues such as the liver, brain, and developing embryos. It supports rapid cell division and tissue expansion by supplying fatty acids needed for phospholipid and triglyceride production. In zebrafish embryos, the expression of fatty acid synthase begins early and is critical for proper organogenesis and survival.

Altered regulation of fatty acid synthase is associated with metabolic disorders, cancer, and developmental abnormalities. Due to its evolutionary conservation and functional importance, zebrafish fatty acid synthase is widely used as a model to study lipid biosynthesis, energy metabolism, and the effects of dietary and environmental factors on fat production. It is also a valuable target for screening compounds that modulate lipogenesis or impact metabolic health.

Application Notes

Optimal dilution of the Zebrafish Fasn antibody should be determined by the researcher.

Immunogen

E. coli-derived zebrafish Fasn recombinant protein (amino acids Q508-G2511) was used as the immunogen for the Zebrafish Fasn antibody.

Storage

After reconstitution, the Zebrafish Fasn antibody can be stored for up to one month at 4oC. For long-term, aliquot and store at -20oC. Avoid repeated freezing and thawing.

Cross
Bulk Quote Request Form
Name*:
Organization*:
Email*:
Phone Number*:
Catalog No.*:
Comments and Specifics(amount, formulation, etc.)*:
Validation code: Captchapackage Image


Can't read the image? click here to refresh.
    *required field

Your bulk quote request has been submitted successfully!

Please contact us if you have any questions.