• Tel: 858.663.9055
  • SeparatorEmail: info@nsjbio.com
  • Tel: 858.663.9055
  • Email: info@nsjbio.com
Home >> Antibodies >> Zebrafish Eif4a1 Antibody / Isoforms a & b / EIF4A2

Zebrafish Eif4a1 Antibody / Isoforms a & b / EIF4A2 (RZ1051)

  Catalog No Formulation Size Price (USD)  
Image RZ1051 0.5mg/ml if reconstituted with 0.2ml sterile DI water 100 ug 539
Bulk quote request
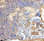
IHC staining of FFPE zebrafish brain tissue with Zebrafish Eif4a1 antibody. HIER: boil tissue sections in pH8 EDTA for 20 min and allow to cool before testing.
Western blot analysis of Eif4a1a/b/2 protein using Zebrafish Eif4a1 antibody and 1) zebrafish head, 2) whole female zebrafish, 3) whole male zebrafish and 4) zebrafish embryo tissue lysate. Expected molecular weight: ~46 kDa (Eif4a1a/b) and ~32 kDa (EIF4A2).
IHC staining of FFPE zebrafish kidney tissue with Zebrafish Eif4a1 antibody. HIER: boil tissue sections in pH8 EDTA for 20 min and allow to cool before testing.
Availability 2-3 weeks
Species Reactivity Zebrafish
Format Antigen affinity purified
Clonality Polyclonal (rabbit origin)
Isotype Rabbit Ig
Purity Antigen affinity chromatography
Buffer Lyophilized from 1X PBS with 2% Trehalose
UniProt Q802C9
Applications Western Blot : 0.5-1 ug/ml
Immunohistochemistry (FFPE) : 2-5 ug/ml
Limitations This Zebrafish Eif4a1 antibody is available for research use only.
Review this product on BioCompare and get a $20 Amazon gift card

Related Products

  • Applications : WB, IHC-P, IF, FACS
    Reactivity : Human, Mouse, Rat
  • Applications : WB, IHC-P, IF, FACS
    Reactivity : Human, Mouse, Rat
  • Applications : WB, IHC-P, IF, FACS
    Reactivity : Human, Mouse, Rat

Description

Eukaryotic initiation factor 4A-I is a protein that in humans is encoded by the EIF4A1 gene. It is mapped to 17p13.1. EIF4A1 has been shown to interact with EIF4E and eukaryotic translation initiation factor 4 gamma.

Application Notes

Optimal dilution of the Zebrafish Eif4a1 antibody should be determined by the researcher.

Immunogen

An E.coli-derived zebrafish Eif4a1a/b/2 recombinant protein (amino acids D32-I406) was used as the immunogen for the Zebrafish Eif4a1 antibody. This antibody will detect the a and b isoforms of Eif4a1 as well as Eif4a2.

Storage

After reconstitution, the Zebrafish Eif4a1 antibody can be stored for up to one month at 4oC. For long-term, aliquot and store at -20oC. Avoid repeated freezing and thawing.

Cross
Bulk Quote Request Form
Name*:
Organization*:
Email*:
Phone Number*:
Catalog No.*:
Comments and Specifics(amount, formulation, etc.)*:
Validation code: Captchapackage Image


Can't read the image? click here to refresh.
    *required field

Your bulk quote request has been submitted successfully!

Please contact us if you have any questions.