• Tel: 858.663.9055
  • SeparatorEmail: info@nsjbio.com
  • Tel: 858.663.9055
  • Email: info@nsjbio.com
Home >> Antibodies >> Zebrafish Eif3a Antibody / Eukaryotic translation initiation factor 3 subunit A

Zebrafish Eif3a Antibody / Eukaryotic translation initiation factor 3 subunit A (RZ1126)

  Catalog No Formulation Size Price (USD)  
Image RZ1126 0.5mg/ml if reconstituted with 0.2ml sterile DI water 100 ug 539
Bulk quote request
IHC staining of FFPE zebrafish testis tissue with Zebrafish Eif3a antibody, HRP secondary and DAB substrate. HIER: boil tissue sections in pH8 EDTA for 20 min and allow to cool before testing.
Western blot analysis of Eif3a protein using Zebrafish Eif3a antibody and 1) whole female zebrafish and 2) whole male zebrafish tissue lysate. Predicted molecular weight ~167 kDa.
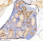
IHC staining of FFPE zebrafish kidney tissue with Zebrafish Eif3a antibody, HRP secondary and DAB substrate. HIER: boil tissue sections in pH8 EDTA for 20 min and allow to cool before testing.
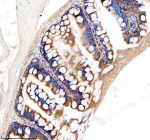
IHC staining of FFPE zebrafish colon tissue with Zebrafish Eif3a antibody, HRP secondary and DAB substrate. HIER: boil tissue sections in pH8 EDTA for 20 min and allow to cool before testing.
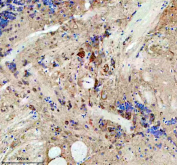
IHC staining of FFPE zebrafish brain tissue with Zebrafish Eif3a antibody, HRP secondary and DAB substrate. HIER: boil tissue sections in pH8 EDTA for 20 min and allow to cool before testing.
Availability 2-3 weeks
Species Reactivity Zebrafish
Format Antigen affinity purified
Clonality Polyclonal (rabbit origin)
Isotype Rabbit Ig
Purity Antigen affinity chromatography
Buffer Lyophilized from 1X PBS with 2% Trehalose
UniProt Q6PCR7
Localization Cytoplasm
Applications Western Blot : 0.5-1 ug/ml
Immunohistochemistry (FFPE) : 2-5 ug/ml
Limitations This Zebrafish Eif3a antibody is available for research use only.
Review this product on BioCompare and get a $20 Amazon gift card

Related Products

Description

Eukaryotic translation initiation factor 3 subunit A (eIF3a) is a protein that in humans is encoded by the EIF3A gene. Enables RNA binding activity. Contributes to translation initiation factor activity. Involved in IRES-dependent viral translational initiation; formation of cytoplasmic translation initiation complex; and viral translational termination-reinitiation. Located in cytosol; nucleolus; and nucleoplasm. Part of eukaryotic translation initiation factor 3 complex.

Application Notes

Optimal dilution of the Zebrafish Eif3a antibody should be determined by the researcher.

Immunogen

An E.coli-derived zebrafish Eif3a recombinant protein (amino acids K13-H478) was used as the immunogen for the Zebrafish Eif3a antibody.

Storage

After reconstitution, the Zebrafish Eif3a antibody can be stored for up to one month at 4oC. For long-term, aliquot and store at -20oC. Avoid repeated freezing and thawing.

Cross
Bulk Quote Request Form
Name*:
Organization*:
Email*:
Phone Number*:
Catalog No.*:
Comments and Specifics(amount, formulation, etc.)*:
Validation code: Captchapackage Image


Can't read the image? click here to refresh.
    *required field

Your bulk quote request has been submitted successfully!

Please contact us if you have any questions.