• Tel: 858.663.9055
  • SeparatorEmail: info@nsjbio.com
  • Tel: 858.663.9055
  • Email: info@nsjbio.com
Home >> Antibodies >> Zebrafish Dazap1 Antibody / DAZ-associated protein 1

Zebrafish Dazap1 Antibody / DAZ-associated protein 1 (RZ1107)

  Catalog No Formulation Size Price (USD)  
Image RZ1107 0.5mg/ml if reconstituted with 0.2ml sterile DI water 100 ug 539
Bulk quote request
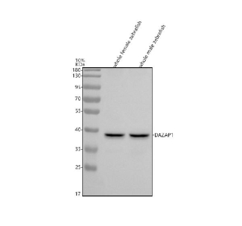
Western blot analysis of Dazap1 protein using Zebrafish Dazap1 antibody and 1) whole female zebrafish tissue lysate and 2) whole male zebrafish tissue lysate. Predicted molecular weight ~41 kDa.
Availability 2-3 weeks
Species Reactivity Zebrafish
Format Antigen affinity purified
Clonality Polyclonal (rabbit origin)
Isotype Rabbit Ig
Purity Antigen affinity chromatography
Buffer Lyophilized from 1X PBS with 2% Trehalose
UniProt Q29R83
Applications Western Blot : 0.5-1 ug/ml
Limitations This Zebrafish Dazap1 antibody is available for research use only.
Review this product on BioCompare and get a $20 Amazon gift card

Related Products

Description

DAZ-associated protein 1 is a protein that in humans is encoded by the DAZAP1 gene. It is mapped to19p13.3. In mammals, the Y chromosome directs the development of the testes and plays an important role in spermatogenesis. A high percentage of infertile men have deletions that map to regions of the Y chromosome. The DAZ (deleted in azoospermia) gene cluster maps to the AZFc region of the Y chromosome and is deleted in many azoospermic and severely oligospermic men. It is thought that the DAZ gene cluster arose from the transposition, amplification, and pruning of the ancestral autosomal gene DAZL also involved in germ cell development and gametogenesis. This gene encodes a RNA-binding protein with two RNP motifs that was originally identified by its interaction with the infertility factors DAZ and DAZL. Two isoforms are encoded by transcript variants of this gene.

Application Notes

Optimal dilution of the Zebrafish Dazap1 antibody should be determined by the researcher.

Immunogen

An E.coli-derived zebrafish Dazap1 recombinant protein (amino acids M1-K186) was used as the immunogen for the Zebrafish Dazap1 antibody.

Storage

After reconstitution, the Zebrafish Dazap1 antibody can be stored for up to one month at 4oC. For long-term, aliquot and store at -20oC. Avoid repeated freezing and thawing.

Cross
Bulk Quote Request Form
Name*:
Organization*:
Email*:
Phone Number*:
Catalog No.*:
Comments and Specifics(amount, formulation, etc.)*:
Validation code: Captchapackage Image


Can't read the image? click here to refresh.
    *required field

Your bulk quote request has been submitted successfully!

Please contact us if you have any questions.