• Tel: 858.663.9055
  • SeparatorEmail: info@nsjbio.com
  • Tel: 858.663.9055
  • Email: info@nsjbio.com
Home >> Antibodies >> Zebrafish Cyp19a1b Antibody / Aromatase

Zebrafish Cyp19a1b Antibody / Aromatase (RZ1215)

  Catalog No Formulation Size Price (USD)  
Image RZ1215 0.5mg/ml if reconstituted with 0.2ml sterile DI water 100 ug 539
Bulk quote request
IHC staining of FFPE zebrafish ovary tissue with Cyp19a1b antibody, HRP-labeled secondary and DAB substrate. HIER: boil tissue sections in pH8 EDTA for 20 min and allow to cool before testing.
Western blot analysis of Cyp19a1b protein using Zebrafish Cyp19a1b antibody and 1) zebrafish head, 2) whole female zebrafish and 3) whole male zebrafish tissue lysate. Predicted molecular weight ~58 kDa.
IHC staining of FFPE zebrafish cerebellum tissue with Cyp19a1b antibody, HRP-labeled secondary and DAB substrate. HIER: boil tissue sections in pH8 EDTA for 20 min and allow to cool before testing.
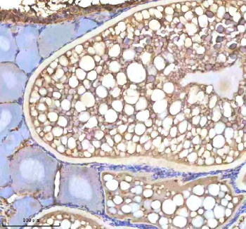
IHC staining of FFPE zebrafish liver tissue with Cyp19a1b antibody, HRP-labeled secondary and DAB substrate. HIER: boil tissue sections in pH8 EDTA for 20 min and allow to cool before testing.
IHC staining of FFPE zebrafish kidney tissue with Cyp19a1b antibody, HRP-labeled secondary and DAB substrate. HIER: boil tissue sections in pH8 EDTA for 20 min and allow to cool before testing.
IHC staining of FFPE zebrafish spinal cord tissue with Cyp19a1b antibody, HRP-labeled secondary and DAB substrate. HIER: boil tissue sections in pH8 EDTA for 20 min and allow to cool before testing.
Availability 2-3 weeks
Species Reactivity Zebrafish
Format Antigen affinity purified
Clonality Polyclonal (rabbit origin)
Isotype Rabbit Ig
Purity Antigen affinity chromatography
Buffer Lyophilized from 1X PBS with 2% Trehalose
UniProt Q5U870
Applications Western Blot : 0.5-1ug/ml
Immunohistochemistry (FFPE) : 2-5ug/ml
Limitations This Zebrafish Cyp19a1b antibody is available for research use only.
Review this product on BioCompare and get a $20 Amazon gift card

Related Products

Description

Cyp19a1b, or cytochrome P four five zero family nineteen subfamily A polypeptide one b, is an aromatase enzyme that catalyzes the conversion of androgens into estrogens. In zebrafish, Cyp19a1b is the brain-specific isoform of aromatase and plays a key role in the regulation of estrogen synthesis within the central nervous system.

Cyp19a1b is predominantly expressed in radial glial cells in the zebrafish brain and is tightly regulated by estrogens and environmental factors. Its expression begins during early embryogenesis and continues throughout development and adulthood. Cyp19a1b is essential for brain development, neurogenesis, and the sexual differentiation of the brain. It also participates in the local modulation of estrogen signaling, which influences behavior, neural plasticity, and reproductive function.

Due to its strong and specific expression in the brain, zebrafish Cyp19a1b is widely used as a sensitive biomarker for estrogenic activity and for studying the effects of endocrine-disrupting chemicals. It is also an important tool for investigating the roles of neuroestrogens in development, regeneration, and brain function.

Application Notes

Optimal dilution of the Zebrafish Cyp19a1b antibody should be determined by the researcher.

Immunogen

E. coli-derived zebrafish Cyp19a1b recombinant protein (amino acids Q230-E511) was used as the immunogen for the Zebrafish Cyp19a1b antibody.

Storage

After reconstitution, the Zebrafish Cyp19a1b antibody can be stored for up to one month at 4oC. For long-term, aliquot and store at -20oC. Avoid repeated freezing and thawing.

Cross
Bulk Quote Request Form
Name*:
Organization*:
Email*:
Phone Number*:
Catalog No.*:
Comments and Specifics(amount, formulation, etc.)*:
Validation code: Captchapackage Image


Can't read the image? click here to refresh.
    *required field

Your bulk quote request has been submitted successfully!

Please contact us if you have any questions.