• Tel: 858.663.9055
  • SeparatorEmail: info@nsjbio.com
  • Tel: 858.663.9055
  • Email: info@nsjbio.com
Home >> Antibodies >> Zebrafish Cxcl8a Antibody / Il-8

Zebrafish Cxcl8a Antibody / Il-8 (RZ1212)

  Catalog No Formulation Size Price (USD)  
Image RZ1212 0.5mg/ml if reconstituted with 0.2ml sterile DI water 100 ug 539
Bulk quote request
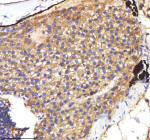
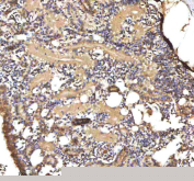
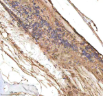
IHC staining of zebrafish Cxcl8a protein using Zebrafish Cxcl8a antibody, HRP-labeled secondary and DAB substrate. Cxcl8a was detected in a paraffin-embedded section of zebrafish eye tissue. HIER: boil tissue sections in pH8 EDTA for 20 min and allow to cool before testing.
IHC staining of zebrafish Cxcl8a protein using Zebrafish Cxcl8a antibody, HRP-labeled secondary and DAB substrate. Cxcl8a was detected in a paraffin-embedded section of zebrafish spinal cord tissue. HIER: boil tissue sections in pH8 EDTA for 20 min and allow to cool before testing.
IHC staining of zebrafish Cxcl8a protein using Zebrafish Cxcl8a antibody, HRP-labeled secondary and DAB substrate. Cxcl8a was detected in a paraffin-embedded section of zebrafish liver tissue. HIER: boil tissue sections in pH8 EDTA for 20 min and allow to cool before testing.
IHC staining of zebrafish Cxcl8a protein using Zebrafish Cxcl8a antibody, HRP-labeled secondary and DAB substrate. Cxcl8a was detected in a paraffin-embedded section of zebrafish kidney tissue. HIER: boil tissue sections in pH8 EDTA for 20 min and allow to cool before testing.
IHC staining of zebrafish Cxcl8a protein using Zebrafish Cxcl8a antibody, HRP-labeled secondary and DAB substrate. Cxcl8a was detected in a paraffin-embedded section of zebrafish muscle tissue. HIER: boil tissue sections in pH8 EDTA for 20 min and allow to cool before testing.
Availability 2-3 weeks
Species Reactivity Zebrafish
Format Antigen affinity purified
Clonality Polyclonal (rabbit origin)
Isotype Rabbit Ig
Purity Antigen affinity chromatography
Buffer Lyophilized from 1X PBS with 2% Trehalose
UniProt A0A0G2KYH9
Applications Immunohistochemistry (FFPE) : 2-5ug/ml
Limitations This Zebrafish Cxcl8a antibody is available for research use only.
Review this product on BioCompare and get a $20 Amazon gift card

Related Products

  • Applications : WB, IHC-P
    Reactivity : Human
  • Applications : WB, IHC-P, IF, FACS, ELISA
    Reactivity : Human
  • Applications : WB, ELISA (protein)
    Reactivity : Human

Description

Cxcl8a, also known as Il-8 like a, is a chemokine that plays a key role in mediating the immune response, particularly by promoting the recruitment and activation of neutrophils. In zebrafish, Cxcl8a is a functional homolog of mammalian interleukin eight and is critical for the early innate immune defense against infection and tissue injury.

Cxcl8a is produced by various cell types in response to inflammatory stimuli and acts through Cxcr receptors to direct the migration of neutrophils to sites of inflammation. In zebrafish embryos and larvae, Cxcl8a expression is rapidly upregulated following bacterial challenge, physical injury, or exposure to immune-modulating compounds.

Due to the transparency and genetic tractability of zebrafish, Cxcl8a is widely used as a model to study inflammation, immune cell dynamics, and host pathogen interactions in vivo. It serves as a valuable biomarker for inflammation and is an important tool for investigating the effects of immunomodulatory drugs and environmental stressors.

Application Notes

Optimal dilution of the Zebrafish Cxcl8a antibody should be determined by the researcher.

Immunogen

E. coli-derived zebrafish Cxcl8a recombinant protein (amino acids M23-P98) was used as the immunogen for the Zebrafish Cxcl8a antibody.

Storage

After reconstitution, the Zebrafish Cxcl8a antibody can be stored for up to one month at 4oC. For long-term, aliquot and store at -20oC. Avoid repeated freezing and thawing.

Cross
Bulk Quote Request Form
Name*:
Organization*:
Email*:
Phone Number*:
Catalog No.*:
Comments and Specifics(amount, formulation, etc.)*:
Validation code: Captchapackage Image


Can't read the image? click here to refresh.
    *required field

Your bulk quote request has been submitted successfully!

Please contact us if you have any questions.