• Tel: 858.663.9055
  • SeparatorEmail: info@nsjbio.com
  • Tel: 858.663.9055
  • Email: info@nsjbio.com
Home >> Antibodies >> Zebrafish Caspase 9 Antibody / Casp9

Zebrafish Caspase 9 Antibody / Casp9 (RZ1208)

  Catalog No Formulation Size Price (USD)  
Image RZ1208 0.5mg/ml if reconstituted with 0.2ml sterile DI water 100 ug 539
Bulk quote request
IHC staining of FFPE zebrafish eye tissue with Zebrafish Caspase 9 antibody, HRP-labeled secondary and DAB substrate. HIER: boil tissue sections in pH8 EDTA for 20 min and allow to cool before testing.
Western blot analysis of Caspase 9 protein using Zebrafish Caspase 9 antibody and 1) zebrafish head, 2) whole female zebrafish, 3) whole male zebrafish and 4) zebrafish embryo tissue lysate. Predicted molecular weight ~48 kDa.
IHC staining of FFPE zebrafish muscle tissue with Zebrafish Caspase 9 antibody, HRP-labeled secondary and DAB substrate. HIER: boil tissue sections in pH8 EDTA for 20 min and allow to cool before testing.
IHC staining of FFPE zebrafish liver tissue with Zebrafish Caspase 9 antibody, HRP-labeled secondary and DAB substrate. HIER: boil tissue sections in pH8 EDTA for 20 min and allow to cool before testing.
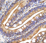
IHC staining of FFPE zebrafish colon tissue with Zebrafish Caspase 9 antibody, HRP-labeled secondary and DAB substrate. HIER: boil tissue sections in pH8 EDTA for 20 min and allow to cool before testing.
Availability 2-3 weeks
Species Reactivity Zebrafish
Format Antigen affinity purified
Clonality Polyclonal (rabbit origin)
Isotype Rabbit Ig
Purity Antigen affinity chromatography
Buffer Lyophilized from 1X PBS with 2% Trehalose
UniProt F1QSB1
Applications Western Blot : 0.5-1ug/ml
Immunohistochemistry (FFPE) : 2-5ug/ml
Limitations This Zebrafish Caspase 9 antibody is available for research use only.
Review this product on BioCompare and get a $20 Amazon gift card

Related Products

  • Applications : WB, IHC-P
    Reactivity : Human
  • Applications : WB
    Reactivity : Human
  • Applications : WB, IHC, FACS, ELISA
    Reactivity : Human
  • Applications : IHC, IF, WB, ELISA
    Reactivity : Human, Mouse
  • Applications : WB, FACS, Direct ELISA
    Reactivity : Mouse, Rat
  • Applications : WB, IHC-P, IF, FACS, Direct ELISA
    Reactivity : Human
  • Applications : WB, IHC-P, FACS, Direct ELISA
    Reactivity : Human
  • Applications : WB, IHC-P, IF, FACS, Direct ELISA
    Reactivity : Mouse, Rat
  • Applications : WB, FACS, Direct ELISA
    Reactivity : Human

Description

Caspase 9 is a key initiator caspase in the intrinsic (mitochondrial) apoptotic pathway, responsible for activating downstream effector caspases and orchestrating programmed cell death. In zebrafish (Danio rerio), Caspase 9 plays a conserved role in regulating apoptosis during embryonic development, as well as in maintaining tissue homeostasis and responding to cellular stress.

Following mitochondrial outer membrane permeabilization, cytochrome c is released into the cytosol, leading to the formation of the apoptosome complex. Caspase 9 is recruited and activated within this complex, initiating a proteolytic cascade that culminates in the activation of effector caspases such as Caspase 3 and Caspase 7. In zebrafish, casp9 is expressed in multiple tissues during development and is crucial for eliminating damaged, mis-specified, or excess cells.

Zebrafish Caspase 9 is widely used in research on cell death mechanisms, neurodevelopment, cancer biology, and toxicology, providing an in vivo model to study mitochondria-mediated apoptosis and the effects of pro- and anti-apoptotic signals. Due to its high degree of functional conservation with mammalian caspase-9, it serves as a valuable tool for both basic and translational research.

Application Notes

Optimal dilution of the Zebrafish Caspase 9 antibody should be determined by the researcher.

Immunogen

E. coli-derived zebrafish Caspase 9 recombinant protein (amino acids K18-Q417) was used as the immunogen for the Zebrafish Caspase 9 antibody.

Storage

After reconstitution, the Zebrafish Caspase 9 antibody can be stored for up to one month at 4oC. For long-term, aliquot and store at -20oC. Avoid repeated freezing and thawing.

Cross
Bulk Quote Request Form
Name*:
Organization*:
Email*:
Phone Number*:
Catalog No.*:
Comments and Specifics(amount, formulation, etc.)*:
Validation code: Captchapackage Image


Can't read the image? click here to refresh.
    *required field

Your bulk quote request has been submitted successfully!

Please contact us if you have any questions.