• Tel: 858.663.9055
  • SeparatorEmail: info@nsjbio.com
  • Tel: 858.663.9055
  • Email: info@nsjbio.com
Home >> Antibodies >> Zebrafish Bap1 Antibody / BRCA1-Associated Protein 1

Zebrafish Bap1 Antibody / BRCA1-Associated Protein 1 (RZ1028)

  Catalog No Formulation Size Price (USD)  
Image RZ1028 0.5mg/ml if reconstituted with 0.2ml sterile DI water 100 ug 539
Bulk quote request
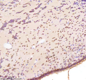
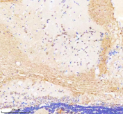
Immunohistochemical analysis of Bap1 protein using Zebrafish Bap1 antibody and paraffin-embedded zebrafish brain tissue. HIER: boil tissue sections in pH8 EDTA for 20 min and allow to cool before testing.
Immunohistochemical analysis of Bap1 protein using Zebrafish Bap1 antibody and paraffin-embedded zebrafish brain tissue. HIER: boil tissue sections in pH8 EDTA for 20 min and allow to cool before testing.
Availability 2-3 weeks
Species Reactivity Zebrafish
Format Antigen affinity purified
Clonality Polyclonal (rabbit origin)
Isotype Rabbit Ig
Purity Antigen affinity chromatography
Buffer Lyophilized from 1X PBS with 2% Trehalose
UniProt A1L2G3
Localization Nuclear, cytoplasmic
Applications Immunohistochemistry (FFPE) : 2-5 ug/ml
Limitations This Zebrafish Bap1 antibody is available for research use only.
Review this product on BioCompare and get a $20 Amazon gift card

Related Products

Description

BAP1, also known as BRCA1-associated protein-1, contains an acidic region, a highly charged C-terminal region, and 2 putative nuclear localization signals. BAP1 is a novel ubiquitin hydrolase which binds to the BRCA1 RING finger and enhances BRCA1-mediated cell growth suppression. BAP1 is expressed as a 4-kb mRNA in all human tissues, and mapped to 3p21.3.

Application Notes

Optimal dilution of the Zebrafish Bap1 antibody should be determined by the researcher.

Immunogen

An E.coli-derived zebrafish Bap1 recombinant protein (amino acids M1-D278) was used as the immunogen for the Zebrafish Bap1 antibody.

Storage

After reconstitution, the Zebrafish Bap1 antibody can be stored for up to one month at 4oC. For long-term, aliquot and store at -20oC. Avoid repeated freezing and thawing.

Cross
Bulk Quote Request Form
Name*:
Organization*:
Email*:
Phone Number*:
Catalog No.*:
Comments and Specifics(amount, formulation, etc.)*:
Validation code: Captchapackage Image


Can't read the image? click here to refresh.
    *required field

Your bulk quote request has been submitted successfully!

Please contact us if you have any questions.